所見:解説資料1

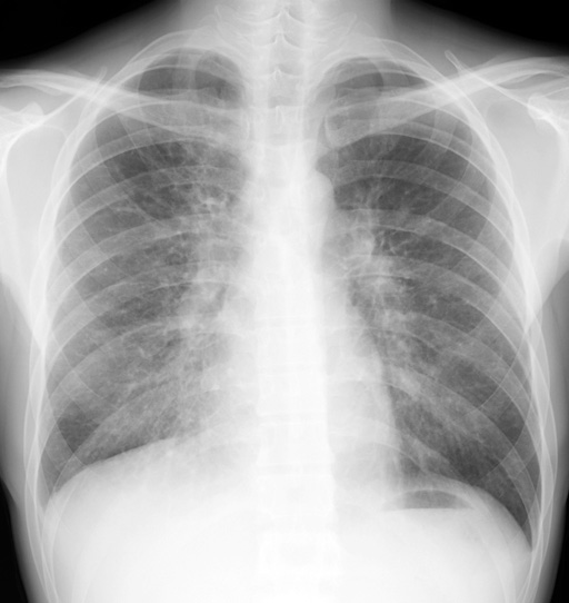
胸部単純X線写真

・両側肺門部陰影の拡大
・両側中下肺野優位に 肺門部を中心とした 肺紋理増強、小粒状影

胸部単純CT 縦隔条件

・両側腋窩、縦隔リンパ節腫大
・両側胸水

胸部単純CT 肺野条件

・気管支血管束および小葉間隔壁の肥厚
・気管支血管束に沿った結節影、小粒状影

胸部単純CT 肺野条件

・気管支血管束および小葉間隔壁の肥厚
・気管支血管束に沿った結節影と周囲すりガラス影

 

| CLOSE |