学術集会

Meeting

レントゲンカンファレンスはこちら

レントゲンカンファレンス症例・解答と解説



第34回 日本画像医学会 (2015年2月)

No.100症例6:17歳男性

診断:頸椎にC2に発生した骨巨細胞腫

【画像所見のまとめ】
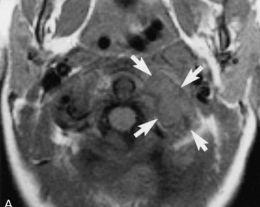
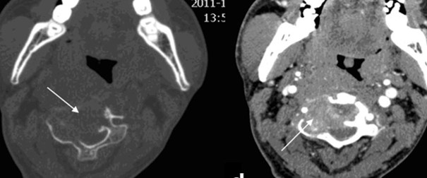
  • C2椎弓に主座を置く溶骨性かつ膨張性の腫瘤性病変。
  • CTにて辺縁に硬化縁を伴う。歯突起に病的骨折あり。
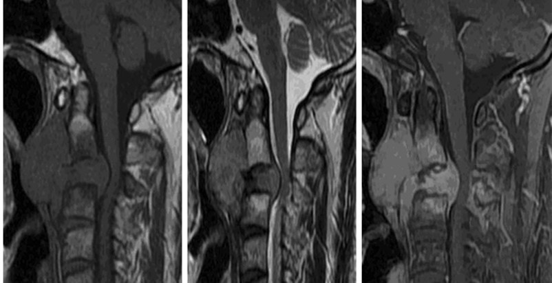
  • MRIにて、腫瘤はT1WI、T2WIにて筋肉よりやや高い信号で、内部に液状のT2WI高信号を認めるが、その他の信号は比較的均一で、内部を椎骨動脈が走行する。ヘモジデリン沈着や石灰化を疑う低信号域は見られない。
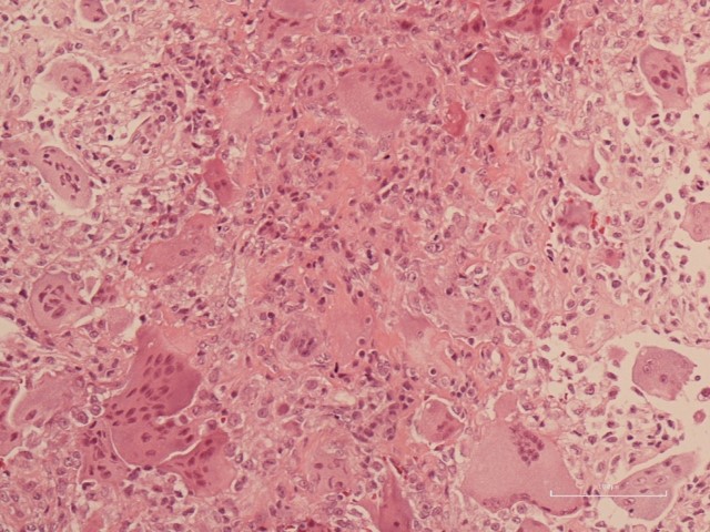
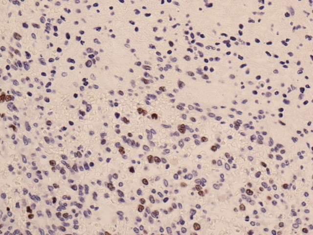
確定診断のため、骨生検を施行
  • HE染色×200
  • MIB-1 ×400
  • 免疫染色(cdk4)×400
HE染色にて、多核巨細胞を多数認め、周囲に紡錘状細胞を伴う。核異型には乏しいが、一部類骨のようにも見えるため、骨肉腫との鑑別が問題となる。
PCL病理細胞診センター中嶋安彬先生にコンサルテーションを行い、追加で免疫染色を施行。MIB-1陽性率は15%と高めではあるが、cdk4は陰性であり、骨巨細胞腫の診断となる。
頸椎C2に発生した骨巨細胞腫
【骨巨細胞腫(Giant Cell Tumor of Bone: GCT)とは】
  • 2013年WHO分類にてOsteoclastic Giant Cell Rich Tumors, intermediate(locally aggressive)に分類される骨腫瘍。
  • 」30-40歳台の成人に多い骨腫瘍で、全骨腫瘍の4-5%、良性骨腫瘍の20%を占める。
  • 脊椎では殆どが仙骨に発生し、仙骨以外の発生は全GCTの約2-6.5%と稀である。脊椎病変の多くが疼痛の他、下肢の神経症状を伴う。
【画像所見】
  • 多くは長幹骨の骨端に発生。溶骨性、膨張性の腫瘤で、内部に充実成分と出血を伴うことがある。
  • 単純X線:多房性溶骨性病変、Soap bubble appearance
  • CT:骨稜、微細な骨皮質の断裂や 、びらん
  • MRI: T1WI 低-等信号、T2WI 不均一な低-等、時に多房性嚢胞性変化や液面形成を伴う。
  • CT
  • STIR
【椎体発生のGCT】
  • 脊椎発生では、椎体に首座を置く事が多い。28/30 case
  • 椎弓や脊柱管内、周囲軟部組織に及ぶ事が多い。
  • 病理学的に椎体発生のGCTは骨肉腫との鑑別が問題になる。
  • ほぼ全例で神経症状を伴い、切除に際して術後の神経機能の温存が問題となる。
  • 左:CT(骨条件)、右:造影CT
  • T1WI、T2WI、Gd-T1WI
【椎体発生のGCT】
  • 10歳台での発生は少ない。さらに頸椎発生となるとさらに少なく、これまで16症例。
  • まとまった画像の報告は殆ど無い
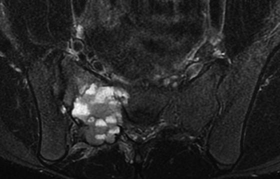
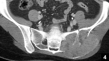
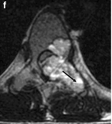
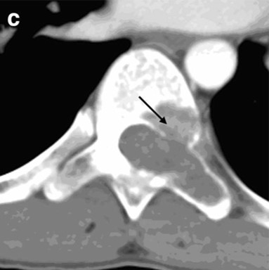
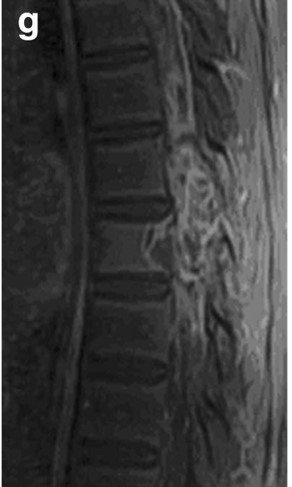
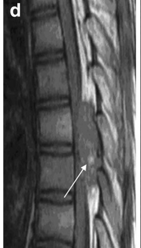
14歳男性:下肢の筋力低下
  • CT
  • T2WI
  • T1WI
  • Gd-T1WI
鑑別診断
【脊椎発生の腫瘤】
小児
  • 骨巨細胞腫
  • 動脈瘤様骨嚢腫
  • 骨肉腫
  • ランゲルハンス細胞組織球症
  • 骨芽細胞腫
  • 線維性異形成
  • ユーイング肉腫
成人
  • 多発性骨髄腫
  • 悪性リンパ腫
  • 軟骨肉腫
  • 骨転移
  • 血管腫
【溶骨性かつ膨張性の形態】
小児
  • 骨巨細胞腫
  • 動脈瘤様骨嚢腫
  • 骨肉腫
  • ランゲルハンス細胞組織球症
  • 骨芽細胞腫
  • 線維性異形成
  • ユーイング肉腫
成人
  • 多発性骨髄腫
  • 悪性リンパ腫
  • 軟骨肉腫
  • 骨転移
  • 血管腫
動脈瘤様骨嚢腫
  • CT
  • T1WI
骨肉腫
  • CT、T2WI
【椎体に発生しやすい】
小児
  • 骨巨細胞腫
  • 動脈瘤様骨嚢腫
  • 骨肉腫 ※横突起や後方に多い
  • ランゲルハンス細胞組織球症
  • 骨芽細胞腫
  • 線維性異形成
  • ユーイング肉腫
成人
  • 多発性骨髄腫
  • 悪性リンパ腫
  • 軟骨肉腫
  • 骨転移
  • 血管腫
ランゲルハンス細胞組織球症
  • CT
  • T1WI
軟骨肉腫
  • CT、T2WI
【結語】
  • 若年男性に発生した骨巨細胞腫を提示した。
  • 骨巨細胞腫の10歳台の発生は稀である。
  • 骨巨細胞腫の仙骨を除く椎体発生は比較的稀であるが、溶骨性膨張性の腫瘤の鑑別に挙げる必要がある。
  • 骨肉腫(OS): 全OSの0.6-4% 
  • 動脈瘤様骨嚢腫(ABC): 全ABCの14%、頸椎は2%
  • 骨芽細胞腫:脊椎骨腫瘍の5%
  • ABC、OBは後方成分に多く、GCT、LCHは椎体に多い。
【参考文献】
  1. Smith A, Di Primio G, Humphrey-Murto S. Scurvy in the developed world. CMAJ. 2011;183(11):E752-5.
  2. Keenan S, Mitts KG, Kurtz CA. Scurvy presenting as a medial head tear of the gastrocnemius. Orthopedics. 2002;25(6):689-91.
  3. Karthiga S, Dubey S, Garber S, Watts R. Scurvy: MRI appearances. Rheumatology (Oxford). 2008;47(7):1109.
  4. Brennan CM, Atkins KA, Druzgal CH, Gaskin CM. Magnetic resonance imaging appearance of scurvy with gelatinous bone marrow transformation. Skeletal Radiol. 2012;41(3):357-60.
  5. Polat AV, Bekci T, Say F, Bolukbas E, Selcuk MB. Osteoskeletal manifestations of scurvy: MRI and ultrasound findings. Skeletal Radiol. 2015;44(8):1161-4.
  6. Choi SW, Park SW, Kwon YS, et al. MR imaging in a child with scurvy: a case report. Korean J Radiol. 2007;8(5):443-7.
  7. Gongidi P, Johnson C, Dinan D. Scurvy in an autistic child: MRI findings. Pediatr Radiol. 2013;43(10):1396-9.
  8. Estienne M, Bugiani M, Bizzi A, Granata T. Scurvy hidden behind neuropsychiatric symptoms. Neurol Sci. 2011;32(6):1091-3.
  9. 石神昭人.【ビタミン-作用の多様性-】ビタミンの老化制御.HORMON FRONTIER IN GYNECOLOGY 19巻3号 231-236