学術集会

Meeting

レントゲンカンファレンスはこちら

レントゲンカンファレンス症例・解答と解説



第21回 日本画像医学会 (2002年2月)

No.11症例3:66歳,男性

診断:自己免疫性膵炎

【画像所見】
図1:
膵頭部にhypoechoic massを認める.
図2:
膵頭部に限局性狭窄像を認める.
図3:
膵管拡張を軽度認める.膵頭部腫瘤は同定されない.腎盂壁の瀰漫性壁肥厚を認める.
図4:
膵頭部に腫瘤性病変は同定できない.膵管拡張を認める.
図5:
状断画像d)T2強調矢状断画像
トルコ鞍から鞍上部にかけて下垂体柄にそうように造影剤投与によって増強効果を有する腫瘤性病変を認める.
図6:
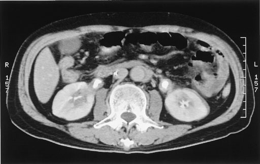
腹部大動脈周囲,腎被膜周囲,尿管周囲に瀰漫性濃度上昇域を認める.
図7:
膵管全体に狭窄性病変を認めるようになっている.
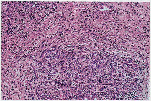
図8:
膵実質の脱落とリンパ球浸潤および線維化を認める.
【解説】
自己免疫性膵炎の原因機序は不明な部分があるが,CD4,8陽性T細胞が関与した全身疾患と考えられている.その特徴は1.ガンマグロブリン高値,2.自己抗体陽性,3.膵瀰漫性腫大,4.主膵管の瀰漫性狭窄,5.リンパ球浸潤を伴った膵線維化,6.膵炎症状はないかあっても軽度で,膵石や膵嚢胞を認めない,7.他の自己免疫疾患との合併が時に見られる,8.ステロイドが奏効する,とされている.男女比では35:19と男性が多い.自己免疫疾患との合併率はシェーグレン症候群25%,原発性硬化性胆管炎13%と報告されている.
画像所見は膵瀰漫性腫大,膵辺縁の濃染像,膵管の瀰漫性狭窄および拡張像,膵の周囲組織には急性膵炎のような炎症波及を認めない,が特徴的とされている.時として本症例のごとく膵の限局性腫大,膵管限局性狭窄を来たし膵癌との鑑別が必要になる.この他に総胆管狭窄所見,多組織線維症,分泌腺炎所見が報告されている.
  • 図6 1ヶ月経過観察後,腹部CT
  • 図7 5ヶ月経過後,内視鏡的逆行性膵胆管造影(ERCP)
  • 図8 病理組織標本(HE染色×400)
【参考文献】
  1. Irie H, Honda H, Baba S, Kuroiwa T, Yoshimitsu K, Tajima T, Jimi M, Sumii T, Masuda K: Autoimmune pancreatitis: CT and MR characteristics. Am J Roentgenol 1998; 170: 1323-7
  2. Eerens I, Vanbeckevoort D, Vansteenbergen W, Van Hoe L: Autoimmune pancreatitis associated with primary sclerosing cholangitis: MR imaging findings. Eur Radiolo 2001; 11: 1401-4
  3. Okazaki K, Uchida K, Chiba T: Recent concept of autoimmune-related pancreatitis. J Gastroenterol 2001; 36: 293-302
  4. 西森 功,須田耕一,大井 至,小川 道雄:自己免疫性膵炎.日消誌 2000;97:1355-63
  5. Servais A, Pestieau SR, Detry O, Honore P, Belaiche J, Jacquet N: Autoimmune pancreatitis mimicking cancer of the head of pancreas: report of two cases. Acta Gastroenterol Belg 2001; 64: 227-30