学術集会

Meeting

レントゲンカンファレンスはこちら

レントゲンカンファレンス症例・解答と解説



第35回 日本画像医学会 (2016年2月)

No.110症例10:20才代 男性

診断:類骨骨腫

【画像所見】
  • 臼蓋前部にT2強調画像で高信号、T1強調画像で低信号の領域。脂肪抑制T2強調画像では骨外にも高信号を認める。関節液貯留はない。
  • 骨CTでは、MRIの異常信号部分は対側と比べてやや骨硬化が強いかもしれないが、大きな差はない。前方骨皮質に7x4mm大の骨硬化縁に囲まれた楕円形の骨に比べて低濃度のところがある。この内部に石灰化は認めず。
  • 骨シンチでは上記の楕円部分に重なるところに結節状の集積有。右脛骨にも小さな集積。(非供覧の単純写真では脛骨に異常なく、症状もなかった。)
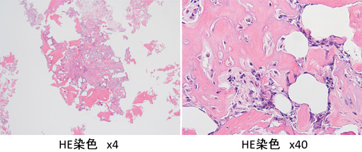
【病理所見】
骨梁間に線維性結合織が増生し、一部で類骨の形成あり。類骨の辺縁に骨芽細胞の縁取りが見られる部分もある。骨芽細胞の異型は目立たない。
解答:類骨骨腫
【診断】
  • 良性、骨形成性の腫瘍。通常骨硬化性変化に囲まれる。痛みを伴うことがほとんどでサイズが増大する傾向は低い。
  • 年齢:6~30才に多い。
  • 男:女=2.2/1 to 4/1
  • 場所:大腿骨>脛骨>手足>上腕骨>脊椎>腸骨>仙椎> → 50%以上が大腿骨、脛骨に発生。
  • 症状:95%の患者で痛み 特に夜間痛 その70%はサリチル酸で軽快。成長異常、側弯、関節液貯留。
  • 場所:長管骨ではcortex(47-80%), subperiosteum(15-47%), medullary bone (5%)
    特殊な場所として関節内、脊椎
  • 病変の本体はnidus で、血管に富む結合組織、異型のない骨芽細胞などからなる。種々の程度にmineralizationする。
  • 典型的 nidusと周辺の骨肥厚
  • 海綿骨内、骨膜下病変は周辺の骨肥厚、骨硬化が少ないことがある。
  • 関節内病変 骨肥厚、骨硬化が少なく、また離れたところに出ることがある。関節内骨膜の骨を作りだす能力が低いからと言われている。
  • 脊椎:椎弓根が多い。痛みによる側弯。
  • 外科手術:病変の状態を直視可能。
    En bloc open resectionの成功率は88-97%.
    手術後入院日数 3-5日、免荷 1-6月
    合併症:骨折、関節傷害、感染
  • Radiofrequency ablation (RFA):
    治療の主流になりつつある。
    手技時間約90分、手術後病院滞在時間 3-24時間
    相対的非適応:手、脊椎(神経などの重要組織から1cm以上離れていること)
【鑑別診断】
  • Stress Fracture
  • Brodie abscess
  • Chondroblastoma
  • Intracortical hemangioma
【Take Home Message】
  • 若年者の痛みでは類骨骨腫を忘れない。
  • 周囲の骨硬化が目立たないことがある。
  • CT > MRI
【参考文献】
  1. Chai FW, et al. Radiologic diagnosis of osteoid osteoma: From simple to challenging findings.
    Radiographics 2010;30:737-749.
  2. Motamedi D, et al. Thermal Ablation of Osteoid Osteoma: Overview and Step-by-Step Guide. RadioGraphics 2009; 29:2127–2141.
  3. Kayser F, et al. Evidence of the subperiosteal origin of osteoid osteomas in tubular bones: analysis by CT and MR imaging. AJR Am J Roentgenol 1998;170(3):609–614.
  4. Meyers SP. MRI of Bone and soft tissue tumors and tumorlike lesions. Thieme 2008.