レントゲンカンファレンス症例・解答と解説
第37回 日本画像医学会 (2018年2月)
No.12420歳代 女性
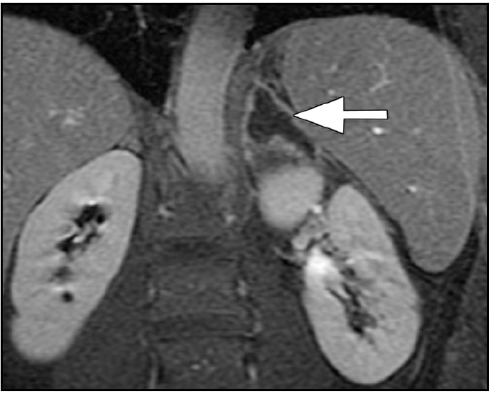
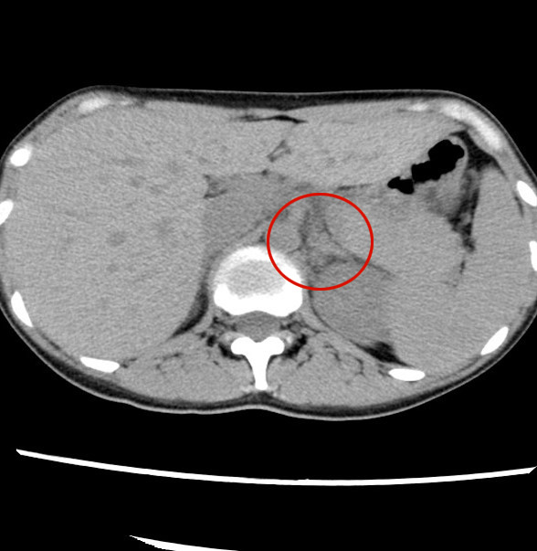
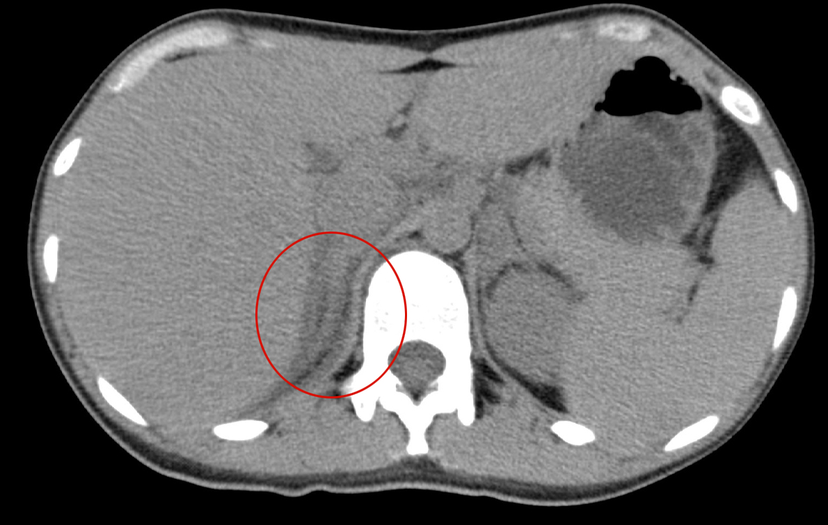
- 【KEY画像】
-
- 左副腎の腫大
- 左副腎の造影不良
- 脾腫
- 腋窩リンパ節腫大
- 【副腎梗塞の鑑別】
-
- 凝固異常を背景とした微小血栓症
- 抗リン脂質抗体症候群
- heparin-induced thrombocytopenia and thrombosis
- 真性多血症
- 本態性血小板増多症
- 敗血症/ショックなどで血圧低下による虚血など
- 【Keyとなる臨床情報】
-
- 臨床基準
- 検査基準
- ループス抗凝固因子(aPL)陽性
- 抗カルジオリピン抗体(aCL)陽性
- 抗カルジオリピンβ2-GPI複合体抗体陽性
(・APTT 91sec)
→抗リン脂質抗体症候群
- 画像所見
- 血液検査
- 補体低値
- リンパ球減少
- 免疫学的異常(抗核抗体陽性、aCL陽性、LAC陽性
→全身性エリテマトーデス
最終診断:副腎梗塞で発症したSLE合併抗リン脂質抗体症候群
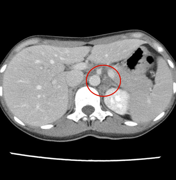
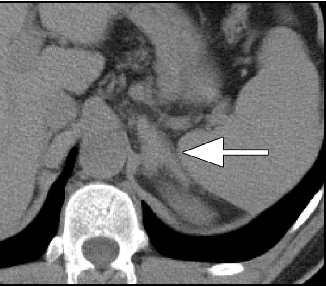
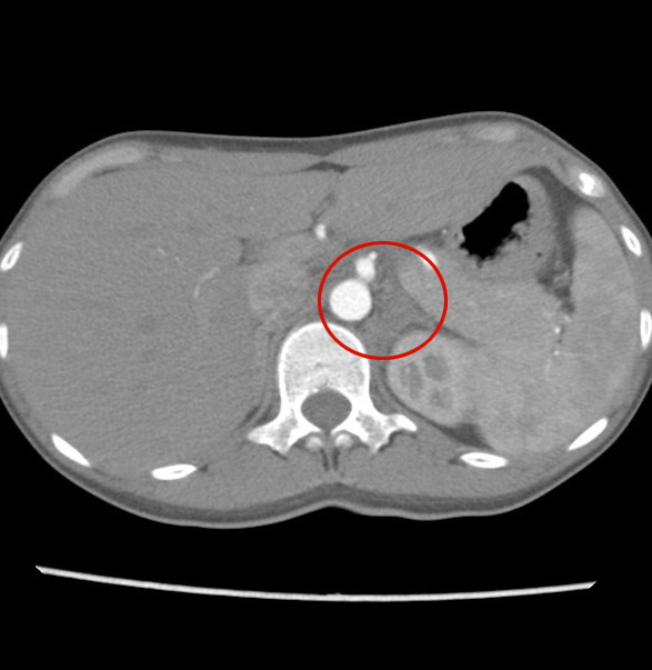
- 【1週間後 単純CT】
-
- 右副腎の腫大
- 右副腎周囲の脂肪織濃度上昇
- 左副腎の腫大は軽減
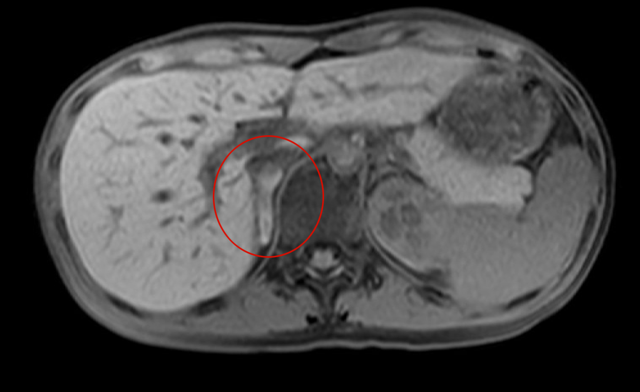
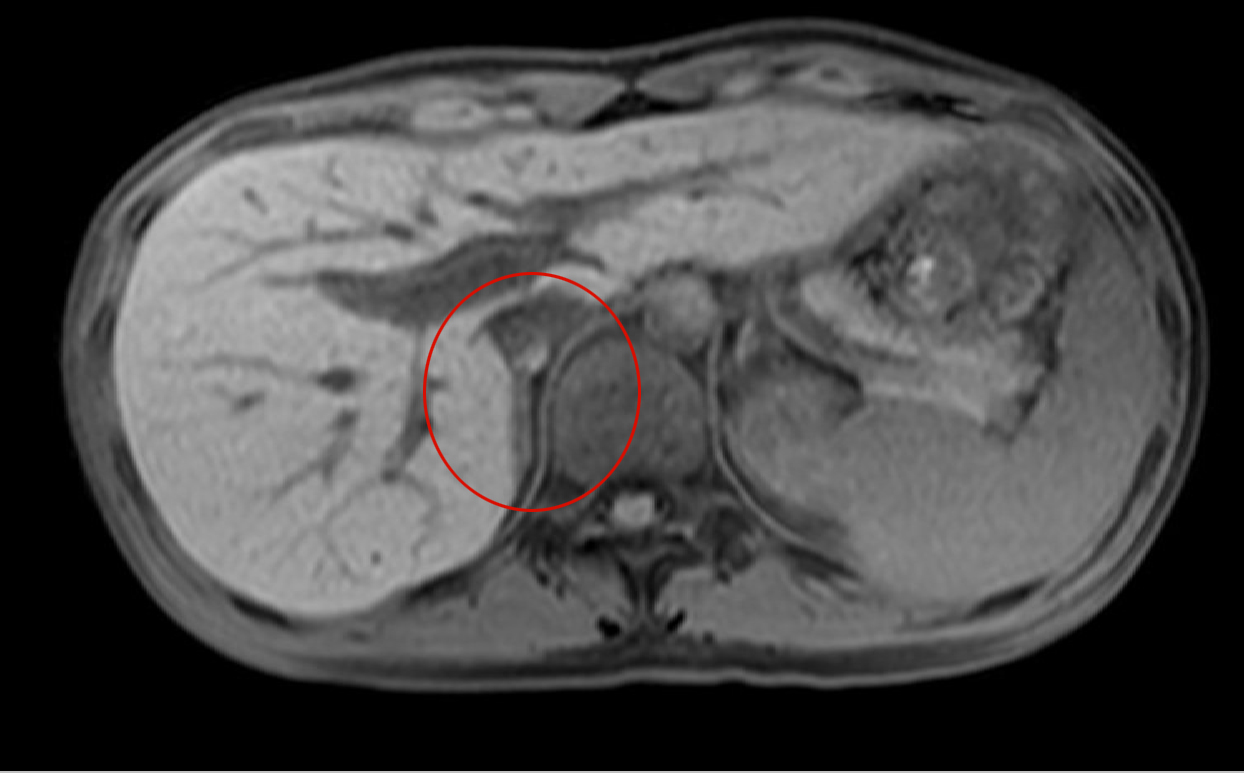
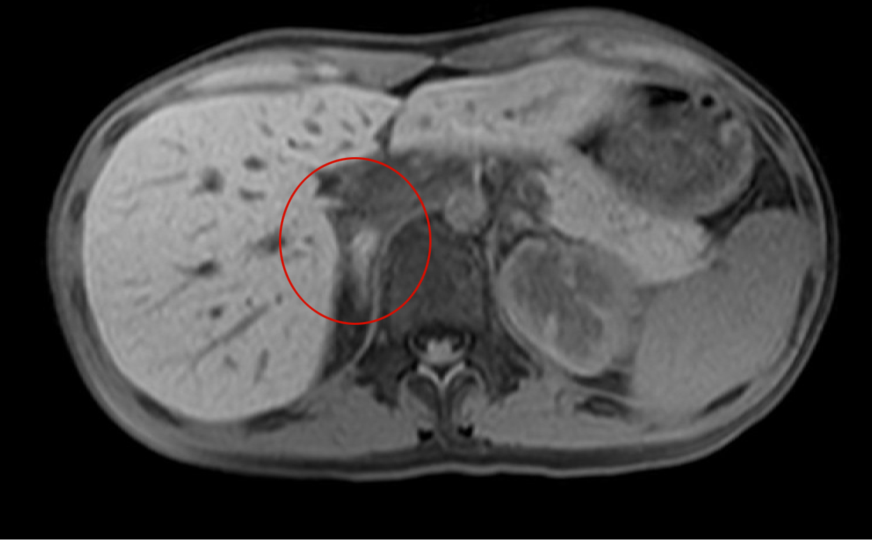
- 【3週間後 MRI 脂肪抑制T1WI】
-
- 右副腎脂肪抑制T1WIで高信号となっており副腎出血を疑う。
- 左副腎の腫大は改善
- 【抗リン脂質抗体症候群】
-
- 抗リン脂質抗体症候群(APS)は、抗リン脂質抗体(aPL)と関連する血栓症および妊娠合併症と定義される。
- APS患者の約半数に全身性エリテマトーデス(SLE)を合併する。
- 妊娠可能年齢の女性の頻度が高い
- 年齢
小児はまれ
50歳以上での発症は12%
- 男女比
1:7 SLE合併APS
1:3.5 SLEを合併しないAPS
- 【APSの腹部CT所見】
-
- APS患者の42/219例(19.5%)に腹部の血栓または、臓器虚血がCTで同定された。
- 22/42(52%)の症例で、腹部の血栓を認めた。
- 36/42(86%)の症例で、腹部臓器虚血を認めた。
- 動脈/静脈いずれの血栓も発生する。

- Abdominal Thrombotic and Ischemic Manifestations of the Antiphospholipid Antibody Syndrome: CT Findings in 42 Patients1
- 【APS患者の副腎病変】
-
- 副腎病変を認めたAPSの症例86例中
- 40例(57%)でCTで副腎出血を認めた。
- 10例(14%)でCTで副腎梗塞を認めた。
- 53例(77%)で両側性の副腎病変を認めた。
- 30例(35%)で副腎病変がAPSの初回のイベントであった。
- 【副腎梗塞 物理的な機序】
-
- 豊富な動脈供給(上・中・下副腎動脈)と限られた静脈排泄(副腎中心静脈)
- 副腎動脈から分岐する小動脈が副腎皮質を貫通し、網状層の毛細血管叢に急激に流れこむことで“vascular dam”となり、血流のうっ滞を引き起こしやすい。
- 副腎中心静脈の平滑筋はすべて縦走筋で、平滑筋束の間を皮質からの細静脈が通る。
- 収縮することで、皮質からの血流を押し止め、局所的な乱流やうっ滞を引き起こしやすい。
- 【副腎梗塞 化学的な機序】
-
副腎皮質束状層にはリゾビスホスファチジン酸を多量に含み、それが抗リン脂質抗体の抗原となる。
抗リン脂質抗体によりアポトーシスを促され、それによりライソソームを放出する。
血管内皮細胞が活性化し、微小血栓を作る。
- 【機序 まとめ】
-
-
- 豊富な動脈供給
- 限られた静脈排泄
- うっ滞しやすい副腎の解剖
- +
-
↓
- 【参考症例① 42歳男性】
-
- 副腎腫大と周囲の脂肪組濃度上昇
- 副腎の実質の造影不良
- 被膜には増強効果あり
単純CT
Gd-T1WI
- 【参考症例② 44歳女性】
-
- 両側の副腎腫大
- 周囲の脂肪織濃度上昇
- 副腎の造影不良
- 形態は比較的保たれている。
造影CT 動脈相
造影CT 平衡相
- 【結語】
-
- 副腎梗塞で発症した若年女性のSLE合併APSの症例を経験した。
- APSは副腎疾患で発症する場合があり、若年女性の副腎梗塞ではAPSを鑑別にあげることが必要である。
- 【参考文献】
-
- Michiels JJ, Ann Hematol, 2002
- Miyakis S J, Thromb Haemost, 2006
- Cohen D , BMJ, 2010
- Shaifali K, Radiology, 2001
- G Espinosa, Lupus, 2003
- Fox B , Journal of pathology 1976
- Presotto F , Eur J Endocrinology 2005
- B.Young , Functional Histology 2007
- Silvério RG, Acta Reumatol Port, 2012
- A.M.Riddell AJR. 2004
- K Behera, Indian J Endocrinol metabo, 2013