学術集会

Meeting

レントゲンカンファレンスはこちら

レントゲンカンファレンス症例・解答と解説



第38回 日本画像医学会 (2019年3月)

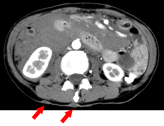
No.132症例2:50歳代 女性
【画像所見】
50歳代女性 腹痛、ショック:
  • SMAの異常拡張
  • 腸間膜主体に血腫
  • 皮膚に多発結節()
【鑑別診断】
SMAの瘤状拡張、破裂:
  • SAM(Segmental arterial mediolysis)
  • 血管炎(巨細胞性動脈炎,Behcet,etc.)
  • 感染性
  • Neurofibromatosis
  • 結合組織関連(Ehlers-Danlos IV,Marfan)
  • 動脈硬化
  • Fibromuscular dysplasia
  • Pseudoxanthoma elasticum

青字はSAMの鑑別疾患だが狭窄が主体

皮膚病変:
SMAの瘤状拡張、破裂+皮膚結節:
  • SAM(Segmental arterial mediolysis)
  • 血管炎(巨細胞性動脈炎,Behcet,etc.)
  • 感染性
  • Neurofibromatosis
  • 結合組織関連(Ehlers-Danlos IV,Marfan)
  • 動脈硬化
  • Fibromuscular dysplasia
  • Pseudoxanthoma elasticum

診断:SMA破裂を来した神経線維腫症1型

【解説】
神経線維腫症1型(NF-1)
  • 主徴はカフェ・オ・レ斑,神経線維腫などの皮膚病
  • 骨,眼,神経系などに様々な病変を合併
  • 出生約3000人に1人の割合で生じる常染色体優性遺伝疾患
  • 患者の半数以上は孤発例
NF-1の血管病変
  • 頻度はNF-1患者の3.6%と比較的稀
  • Dominguez J, J Thorac Cardiovasc Surg, 2002
    • どのサイズの血管もinvolveしうる
    • 腎、肋間、鎖骨下動脈に多い
    • 致死的合併症となりうる
    • 静脈もinvolveされることがある
    • SMAの瘤は今まで9例報告あり
血管病変の機序の仮説
  • 神経線維腫の血管中膜組織への直接浸潤
  • 神経線維腫による栄養動脈の圧迫に起因する血管壁の虚血
  • 内膜の紡錘形細胞の増殖による中膜の菲薄化および弾性板の断裂
NF-1参考症例 31歳女性
  • 神経線維腫の血管中膜組織への直接浸潤
  • 神経線維腫による栄養動脈の圧迫に起因する血管壁の虚血
  • 内膜の紡錘形細胞の増殖による中膜の菲薄化および弾性板の断裂
NF-1参考症例 31歳女性
  • 腹痛、ショック
  • SMAに2つの瘤、破裂の疑い
  • カバードステントで止血
NF-1参考症例 53歳男性
  • 偶然発見
  • 腹腔動脈とSMAの狭窄
NF-1参考症例 55歳女性
  • 胸痛、貧血
  • 内胸動脈から活動性出血
  • coilでisolation
【結語】
  • SMAの瘤状拡張、破裂を来したNF-1の症例を経験した
  • NF-1の血管病変は致死的な合併症であり、留意が必要と考える
【参考文献】
  1. Möbius PJ. Über angeborene doppelseitige Abducens-Facialis-Lähmung. Munch Med Wochenschr. 1888;35:91–94
  2. S. Pedraza, et al. Neurology. 2000;55:1058–1060
  3. Matsunaga Y, et al. J Hum Genet. 1998;43(1):62-4.
  4. Yoon K, et al. Pediatr Radiol. 1997 Feb;27(2):150-2.