学術集会

Meeting

レントゲンカンファレンスはこちら

レントゲンカンファレンス症例・解答と解説



第38回 日本画像医学会 (2019年3月)

No.137症例7:60歳代 女性
【画像所見】
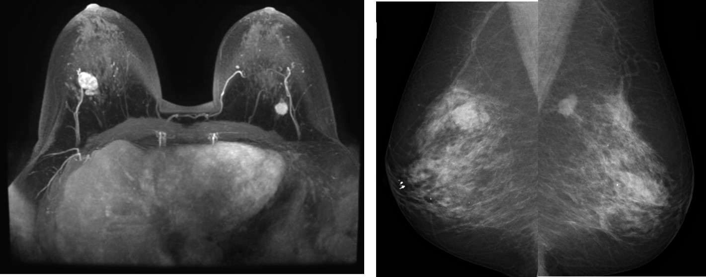
  • マンモグラフィ) 乳房の構成:乳腺散在
    右外上に分葉状・境界明瞭な腫瘤(等~高濃度)。
    左U域に不整形・境界不明瞭な腫瘤、spiculaも疑う。CCは範囲外。

    右カテゴリー3、線維腺腫 疑い 
    左カテゴリー4、浸潤性乳管癌 疑い



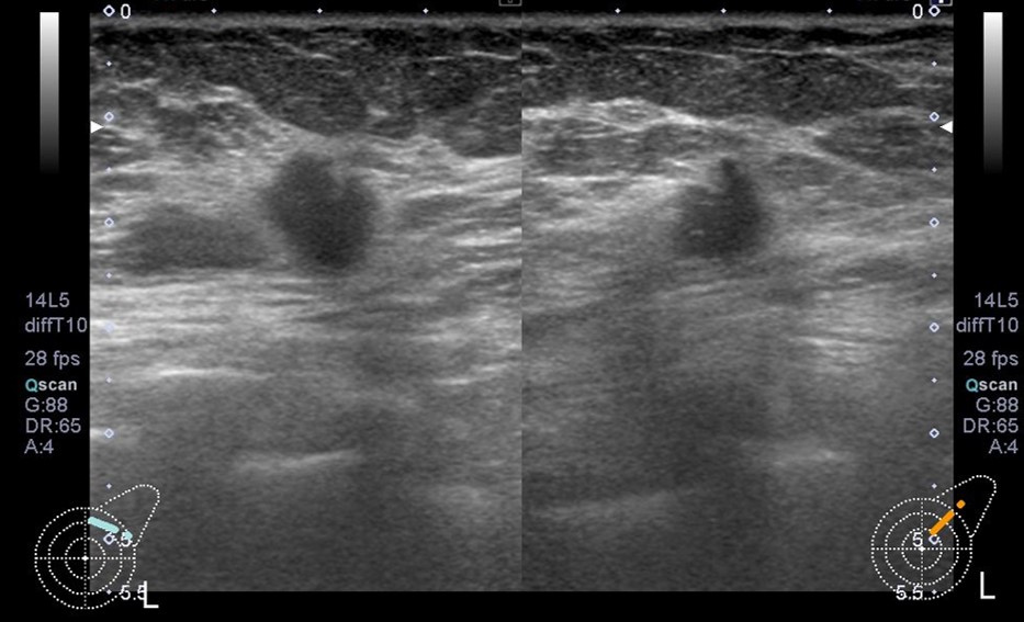
    • 超音波

    CD区域に楕円形・境界明瞭な低エコー腫瘤があり、背側に分葉状の突出部分がある。

    線維腺腫の疑い

    背側は乳管内病変も鑑別。増大があり、葉状腫瘍の可能性がある。



    • 超音波

    C区域に不整形・境界不明瞭な低エコー腫瘤がある。Haloを伴っている。

    浸潤性乳管癌の疑い
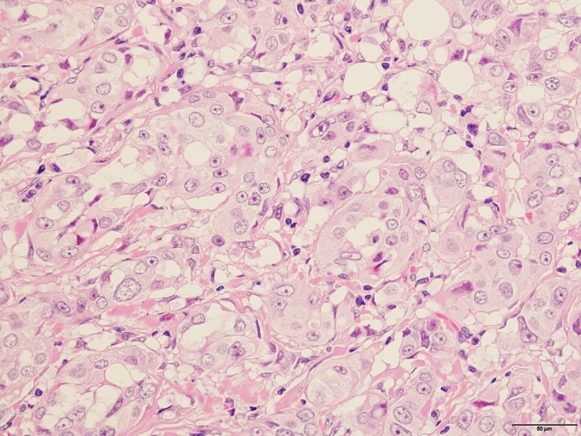
    【病理】
    • 左腫瘤
      円形・境界不明瞭で、内部不均一なfast-washout pattern*を呈する
    • 右腫瘤
      造影で内部均一、漸増型*
      Dark internal septationがある
      背側に分葉状の部分がある
    右 BI-RADS カテゴリ-4

    ( 4A程度、2-10%の悪性の可能性)
    線維腺腫、葉状腫瘍の疑い
    左 BI-RADS カテゴリ-5

    (95%以上悪性を考える)
    浸潤性乳管癌の疑い

    • 超音波

    FDG-PETでは、右腫瘤は弱い集積、左腫瘤は強い集積。

    【画像所見のまとめ】
    • 右腫瘤:境界明瞭、漸増型、dark internal septation
      • 良性の所見、ただし増大で受診
      • 背側の分葉状部分も濃度、増強効果が均一で、一連だろう
    • 左腫瘤:典型的な浸潤癌

    右:腫瘍切除術
    左:乳房部分切除術+センチネルリンパ節生検
    が施行された。

    最終診断:右 葉状腫瘍
    左 浸潤性乳管癌

    【診断】
    左 浸潤性乳管癌(腺管形成型)
    核グレード3:核異型3点、核分裂像2点
    ER陽性、PgR陽性、HER2 2+、
    Ki-67陽性率: 32.7%
    pT1cN1micN0
    右 葉状腫瘍(良性)
    組織学的に嚢胞状に拡張した腔内や周囲間質に線維成分の増生を背景に腺管成分が疎に分布する境界明瞭な病変が認められる。