学術集会

Meeting

レントゲンカンファレンスはこちら

レントゲンカンファレンス症例・解答と解説



第21回 日本画像医学会 (2002年2月)

No.14症例6:2歳 男児

診断:Pelvic neurofibromatosis
骨盤内神経線維腫症

【解説】
Neurofibromatosis(von Recklinghausen disease)では骨盤臓器を侵す頻度はそれほど高くないとされるが,その中では膀胱が最も好発部位であり,膀胱周囲の豊富な自律神経叢に由来することが多い.臨床的には約2/3の症例で尿閉が認められるが,血尿や頻尿で発症することもある.同時に前立腺,精嚢,外陰部を侵すことも多い.膀胱の病変は瀰慢性の壁肥厚が典型的である.MRIではT2強調像で非常に不均一な信号を示すことが多い.これは病理学的な細胞成分の多寡を反映するものと考えられており,必ずしも悪性を示唆するものではない.画像上の鑑別としては,小児においては血管腫,横紋筋肉種,神経芽細胞種,白血病など,成人においてはparaganglioma,リンパ腫などの瀰漫性の腫瘍が挙げられる.臨床または画像で他のneurofibromatosisの所見を捉えることで,診断を示唆することが可能であるが,幼少期においては典型的なCafe-au-lait斑や皮膚のneurofibromaは認められないことが少なくなく,注意を要する.虹彩の過誤腫性の色素斑(Lisch斑)は90%以上に認められ,幼少期においても認められるため,この疾患が疑われた場合,診断学的価値が高い.今回の症例では,dural ectasiaが認められ,診断への一つの手がかりとなりうる.
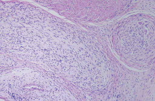
病理では膀胱の筋層内に瀰漫性に増生する神経線維腫が認められる.
  • 図4 HE染色(×40)
  • 図5 HE染色(×100)
【参考文献】
Shonnard KM, Jelinek JS, Benedikt RA, Kransdorf MJ. CT and MR of neurofibromatosis of the bladder. J Comput Assist Tomogr. 1992; 16: 433-8.