レントゲンカンファレンス症例・解答と解説
第38回 日本画像医学会 (2019年3月)
No.140症例10:43歳 女性
- 【画像所見】
-
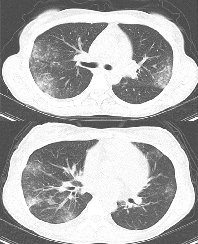
初診時 体幹部CT

- 【画像所見のまとめ】
-
- 腋窩、後腹膜に浮腫を伴うリンパ節腫大
- 少量の心嚢水
- 肝脾腫
- 両肺末梢側優位に小葉中心性に広がる粒状影及びすりガラス影
- 【鑑別診断】
-
- 悪性リンパ腫
- Systemic lupus erythematosus(SLE)
↓超音波ガイド下に、左腋窩リンパ節に対し生検
- 【病理所見】
-
- 【追加検査】
-
| 補体価 |
18.2U/mL |
| ds-DNA抗体 |
304 IU/mL |
| DNA抗体RIA |
90 IU/mL |
| Sm抗体 |
22.5 INDEX |
| SS-A抗体 |
6.1 INDEX |
| ANAⅠ(簡易) |
640倍 |
診断:Systemic lupus erythematosus(SLE)
- 【経過】
-
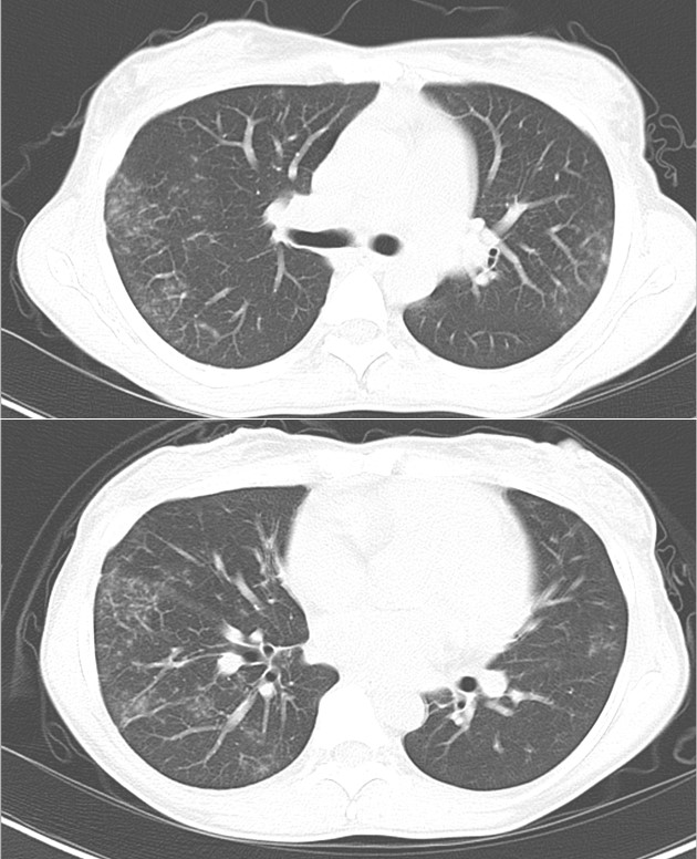
両肺野のすりガラス影の増悪
初診時
第5病日
CT撮像日同日に気管支鏡検査(BAL,TBLB)施行
【BAL】
RBC: 0.00X10^6/μL
【TBLB】
肺動脈・静脈や肺胞壁にリンパ球や組織球の浸潤
肺胞腔内にcapillaritisを反映したと思われるフィブリン析出像
⇒acute lupus pneumonitis
気管支鏡検査同日よりPSL45mgで加療開始、翌日よりシクロスポリン200mg追加
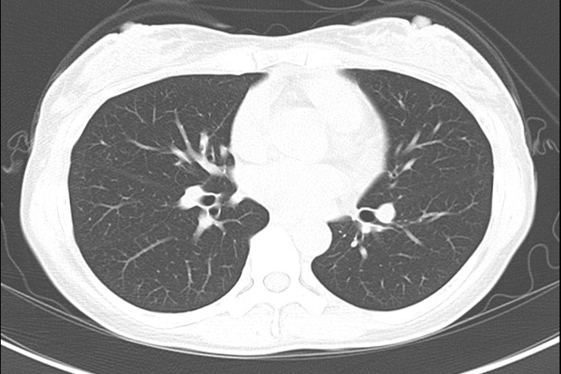
第25病日
リンパ節の縮小及び肺病変の消退を確認
- 【Systemic lupus erythematosus (SLE)】
-
- 免疫複合体の組織沈着により発症
- 20-40代に好発
- 女性:男性=13:1
- 初発症状
- 発熱、体重減少、リンパ節腫脹(全身症状)
- レイノー減少、紅斑、関節痛(局所症状)
- 全身症状及び免疫学的検査の双方より診断
- ACR(American College of Rheumatology)SLE分類基準(1997)
- SLICC(Systemic Lupus International Collaborating Clinics)SLE分類基準(2012)
- 【SLICC(2012) の診断基準】
臨床項目
- 急性皮膚ループス
- 慢性皮膚ループス
- 口内潰瘍
- 非瘢痕性の脱毛
- 2ヶ所以上の関節炎
- 胸膜炎
- 蛋白尿>0.5g/day
- 神経学的異常
- 溶血性貧血
- 白血球<4000 or リンパ球<1000
- 血小板<10万
免疫項目
- 抗核抗体陽性
- 抗dsDNA抗体陽性
- 抗Sm抗体
- 抗リン脂質抗体陽性
- 低補体値
- 直接Coombsテスト陽性
臨床項目、免疫項目の双方1項目以上を含む4項目以上で診断
- 【SLEのリンパ節腫脹】
-
- 発症時約5-7%、全体で約10-20%
- 腋窩、頚部>鼡径
- 後腹膜リンパ節も報告あり
- 多くは非特異的な反応性腫大
- 壊死性リンパ節炎
- 頻度は高くないもののSLEに特徴的
- 鑑別は菊池病(リンパ節の分布が異なる)