学術集会

Meeting

レントゲンカンファレンスはこちら

レントゲンカンファレンス症例・解答と解説



第39回 日本画像医学会 (2020年2月)

No.142症例2:56歳 女性
【画像所見】

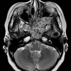
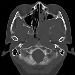
左鼻腔~咽頭~左翼口蓋窩~左翼上顎裂~左頬間隙~左翼状突起およびその周囲~両側蝶形骨洞~斜台にかけて境界明瞭な腫瘤を認める。

CT

腫瘤は筋より軽度低吸収である。腫瘤による骨破壊があるが、左翼口蓋窩の高度拡大や左上顎洞・左篩骨洞壁の変形など腫瘤による長期間に及ぶ圧排性変形を疑う骨変形がある。腫瘤の一部に石灰化があるが、破壊された骨の取り残しの可能性もある。

MRI

腫瘤はT2強調像高信号、T1強調像軽度高信号、拡散強調像軽度高信号(ADCは上昇)で、造影効果を認める。腫瘤内部および辺縁にはflow voidと思われる線状~点状の無信号域が多発している。

【鑑別診断】
  • Juvenile Angiofibroma
  • Solitary Fibrous Tumor
  • Castleman Disease (hyaline vascular type)
  • Meningioma
  • Paraganglioma

診断:Paraganglioma

【Paragangliomaについて】
Paragangliomaは、傍神経節のクロム親和性細胞を由来とする腫瘍で、副腎に発生したものを褐色細胞腫、副腎外に発生したものをparagangliomaと呼称する。
褐色細胞腫/paragangliomaには古典的に”10 % rule”が知られており、10%が家族性、10%が悪性、10%が副腎外、10%が小児発生、などと言われている。
Paragangliomaは全身の様々な部位に発生しうるが、頭頸部・頭蓋底における好発部位としては、頸動脈小体(Carotid Body)、頸静脈孔付近(Glomus Jugulare, Glomus Vagale)、鼓室(Glomus Tympanicum)、迷走神経経路沿いなどが挙げられる。[1]
本例における鼻腔・咽頭や翼口蓋窩、斜台などは、paragangliomaの稀な発生部位として報告されている。[2,3]
【Paragangliomaの画像所見】
CT

境界明瞭な内部均一または不均一な軟部濃度腫瘤で、腫瘍内出血や嚢胞性変化を伴う事がある。稀であるが、石灰化や脂肪を伴う事もある。[4]

MRI

T2強調像で高信号、T1強調像で低信号を呈する。多血性腫瘍であり、造影早期相で強く造影されwash outを認める。腫瘍の高血流を反映し、大きな腫瘍内には血管のflow voidを認める事が多く、slow flowの血液や腫瘍自体の高信号(salt)内にflow voidの低信号(pepper)が混在する”salt-and-pepper” patternを呈する事が典型的とされている。[4,5]

核医学検査

一般的に123I-MIBGシンチグラフィで集積を呈する事が多いが、陰性となる事もある。18F-FDG-PETでは高集積を呈する。[6]

血管造影

栄養血管の高度増生を伴い、強く濃染する。

【参考文献】
  1. Lee KY, Oh YW, Noh HJ, et al. Extraadrenal paragangliomas of the body: imaging features. AJR Am J Roentgenol 2006;187(2):492-504
  2. Otokida K, Ohira A, Kamimura A, et al. Cervical catecholamine-secreting paraganglioma in the pterygopalatine fossa. Tohoku J. Exp. Med. 1987;153(4):347-54
  3. Ruzevick J, Koh EK, Gonzalez-Cuyar LF, et al. Clival paragangliomas: a report of two cases involving the midline skull base and review of the literature. J. Neurooncol. 2017;132(3):473-478
  4. Blake MA, Kalra MK, Maher MM, et al. Pheochromocytoma: an imaging chameleon. Radiographics 2004;24 Suppl 1:S87-99
  5. Olsen WL, Dillon WP, Kelly WM, et al. MR imaging of paragangliomas. AJR Am J Roentgenol 1987;148(1):201-4
  6. Taïeb D, Sebag F, Barlier A, et al. 18F-FDG avidity of pheochromocytomas and paragangliomas: a new molecular imaging signature? J. Nucl. Med. 2009;50(5):711-7