学術集会

Meeting

レントゲンカンファレンスはこちら

レントゲンカンファレンス症例・解答と解説



第39回 日本画像医学会 (2020年2月)

No.143症例3:50歳代 男性
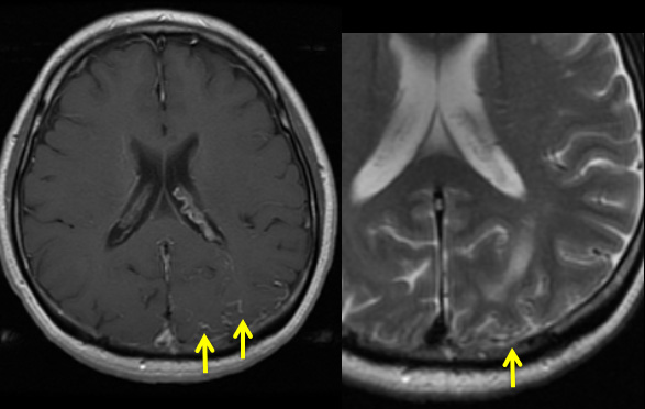
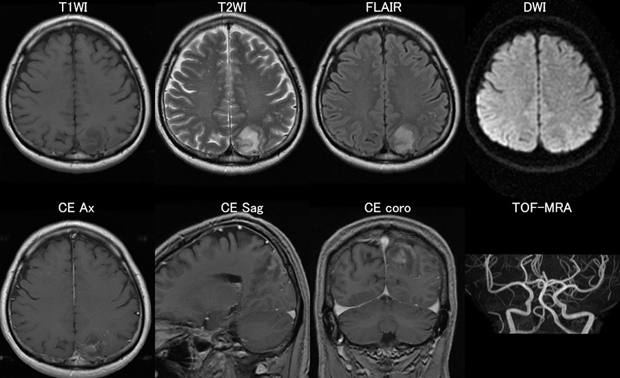
【画像所見のまとめ】
  • Key Images
  • 左後頭葉皮質下白質の限局性T2延長、T1延長病変
  • DWIでの異常信号はない→ADCは上昇
  • focal swellingは軽度
  • 皮質にそった軽度の増強効果
  • CT,T2*WI(非掲示)を含め明らかな石灰化、出血性変化なし
  • MRAで異常は認めない (病変部は撮影範囲外)
【鑑別診断】
  • 腫瘍性病変
    • 神経膠腫、悪性リンパ腫、転移
    • focal swellingにしい 造影効果も非典型
  • 血管性病変
    • 血管支配域と一致せず動脈性梗塞は否定的
  • 脱髄、炎症性病変
    • MS, PML
    • 特異的な所見に乏しい 免疫異常なし
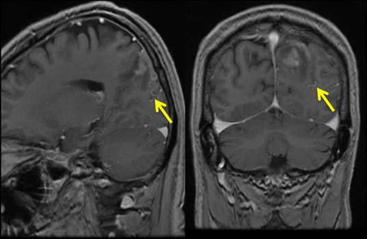
【鑑別疾患】
  • 病変尾側に拡張した血管(+)
    • 硬膜動静脈瘻による静脈性梗塞疑い
【DSA (左後頭動脈)】
後頭葉脳表に皮質静脈に直接灌流する動静脈瘻
  • 側面
  • 正面

診断:Cognard Type III 硬膜動静脈瘻による静脈性梗塞(静脈高血圧性脳症)

 
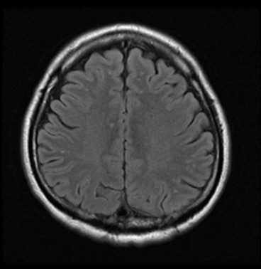
  • 外科的にshunt遮断が行われた
  • 術後脳実質の異常信号は消失

【硬膜動静脈瘻 dural AVF】
  • 硬膜に発生する動静脈短絡
  • nidusはない
  • 通常は静脈洞周囲に発生type I,II
  • type III,IVでは皮質静脈に直接短絡
  • 皮質逆流を伴うIIb, III,IV,Vでは出血リスクが高く治療適応 TAE,TVE, ope
【硬膜動静脈瘻の画像所見】
  • 皮質逆流がない場合の脳実質の異常所見は乏しい
  • 皮質逆流がある場合は静脈圧亢進に伴う脳実質の浮腫性変化(いわゆる静脈性梗塞)や出血、異常増強効果を認める場合がある→時に腫瘍性病変と類似
  • 皮質、皮質下の石灰化
  • 皮質静脈の逆流はflow void、静脈の増強効果として描出される
  • TOF MRAでは本来描出されない静脈洞や皮質静脈、拡張した栄養動脈が描出される→生理的な逆流による正常静脈の描出との鑑別が必要
  • MRDSA, CTDSA, ASL-MRA(silent MRA等)がshuntの描出に有用
【まとめ】
  • “静脈梗塞”を伴うtype III 硬膜動静脈瘻の一例
  • 周囲の拡張血管が診断のkey
  • 硬膜動静脈瘻を疑うことにより適切な追加検査、治療を行うことが可能
【参考文献】
  1. Cognard C, Gobin YP, Pierot L, et al. Cerebral dural arteriovenous fistulas: clinical and angiographic correlation with a revised classification of venous drainage. Radiology. 1995;194(3):671-680.
  2. 高橋 昭喜編,硬膜動静脈瘻, 脳MRI〈3〉血管障害・腫瘍・感染症・他. 2010,学研メディカル秀潤社