学術集会

Meeting

レントゲンカンファレンスはこちら

レントゲンカンファレンス症例・解答と解説



第39回 日本画像医学会 (2020年2月)

No.146症例6:60歳代 女性
【画像所見】
胸部造影CT

右房と心房中隔に限局した壁肥厚を認める。同部位には不均一な造影効果を認める。
右冠動脈の一部は肥厚した壁内を走行しているが、明らかな狭窄は指摘できない。
血管造影では右冠動脈に狭窄は認めないが、多数の栄養血管の発達が描出されている。

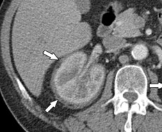
腹部造影CT(平衡相)

両側腎盂に壁肥厚を認める。

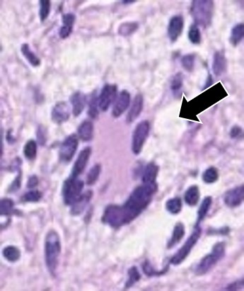
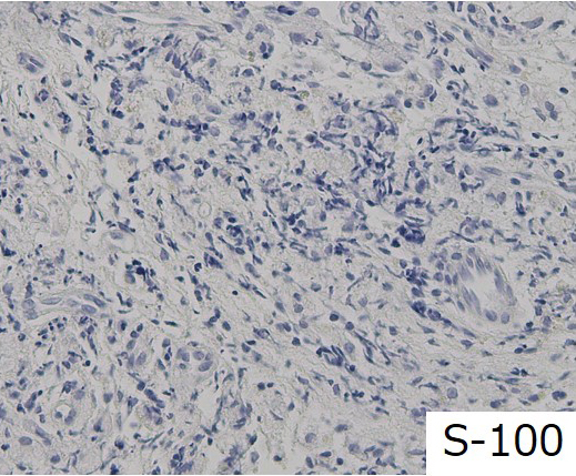
【心筋生検 病理組織所見】

CD68(+),CD1a(-),S-100(-),BRAF(-)

  • Touton型巨細胞

診断:Erdheim-Chester病

【追加画像検査】

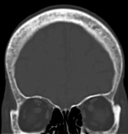
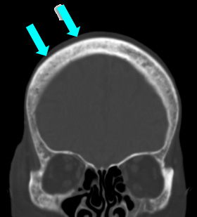
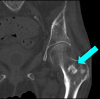
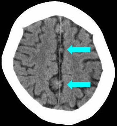
頭部CT・MRIにて、大脳鎌に沿った腫瘤を認め、左小脳橋角部にも腫瘤を認める。いずれもT1強調像で高信号、T2強調像で低信号を呈している。
CTの骨条件では、頭蓋骨に不均一な骨硬化像を認める。

頭部単純CT
頭部MRI
骨シンチグラフィー

CTで認められた骨硬化像の部位と一致して、頭蓋骨や大腿骨、脛骨、肘関節に左右対称性の集積を認める。

【Erdheim-Chester病】
概念:
非Langerhans細胞性組織球症の一型で、異常増殖した脂質含有組織球が全身臓器に浸潤するまれな疾患。
頻度:
1930年に初めて報告され、現在までに650例程度の報告がある。
好発:
40-70歳代の男性にやや多い。
症状:
骨痛、尿崩症など。
病変分布:
  • ほぼ全例に骨硬化性病変が見られ、特に下肢の長管骨に多発する骨硬化性病変が特徴。
  • 約50%で骨外病変を有し、心臓、肺、腎臓、後腹膜腔、中枢神経、皮膚に多い。
画像所見:
<心大血管病変>
  • 右心房壁に濃染する腫瘤形成(33%)
  • 大血管壁に沿った軟部影(coated aorta) (67%)
<後腹膜病変>
  • 水腎症・尿管拡張(33%)
  • Hairy kidney(68%)
<骨病変>
  • 大腿骨遠位と脛骨近位に左右対称性の骨硬化
  • 骨シンチグラフィーで強い集積
<中枢神経病変>
  • 髄膜に沿った腫瘤形成(23%)
  • 下垂体後葉のT1高信号が消失(47%)
  • 眼窩への浸潤(25%)
鑑別診断:
<肺野病変>
  • 小葉間隔壁や葉間胸膜の肥厚(15-35%)
<心大血管病変>
  • 悪性リンパ腫、血管肉腫、転移性心腫瘍
<腎病変>
  • IgG4関連疾患
<中枢神経病変>
  • 髄膜腫、髄膜播種、Rosai-Dorfman病
<肺野病変>
  • 癌性リンパ管症、心不全
治療:
  • インターフェロン
  • BRAF遺伝子変異陽性例に対してBRAF阻害薬(ベムラフェニブ)が有効とされ、2017年にFDA承認された。
予後:
初発症状から診断確定まで平均4.2年と長く、5年生存率は41~68%と予後不良。
【結語】
Erdheim-Chester病は診断までに時間がかかることが多い。各部位における特徴的所見を総合して考え、本症を疑うことで、早期診断に繋がると考える。
【参考文献】
  1. Medicine (Baltimore) 1996; 75: 157-169
  2. Blood 2014 124:483-492
  3. Radiology 2017; 284:910–917