レントゲンカンファレンス症例・解答と解説
第39回 日本画像医学会 (2020年2月)
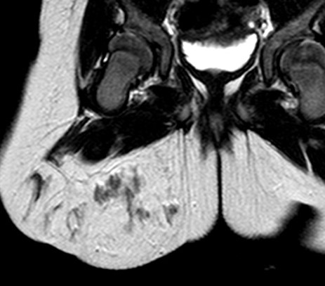
No.149症例9:7歳 女児
- 【画像所見のまとめ】
-
- 右中間広筋ないしその周囲を主座とする腫瘤
- 中間広筋自体は高度に萎縮(+脂肪変性?)
- 右大腿の過成長(骨+軟部組織)
- 腫瘤自体はT2WI軽度高信号~低信号、早期からよく増強、境界不明瞭で脂肪を取り残しながら進展。明らかな石灰化なし
- 出生後から存在? → 良性 or 局所侵襲性
- 【Localized gigantism】
-
- Neurofibromatosis type 1
- Klippel-Trenaunay-Weber syndrome
- Lymphangiomatosis
- Hemangiomatosis
- Macrodystrophia lipomatosa
- Fibrolipomatous hamartoma of the nerve
- Proteus syndrome
- Beckwith-Wiedemann syndrome
- 【鑑別診断】
-
- 血管奇形
○ 過成長や病変の広がり
✕ T2WI低信号
- Lipoblastomatosis
△ 脂肪の混在(腫瘍性脂肪としては脂肪のmassiveさが弱いか?)
- 線維性腫瘍
- Infantile fibromatosis(普通はT2WIで白いが、古いと黒くなるか?)
- Infantile myofibromatosis(通常はもっと境界明瞭)
- Fibrous hamartoma of infancy(腫瘍性脂肪かと言われると?)
- Lipofibromatosis(腫瘍性脂肪かと言われると? )
- Calcifying aponeurotic fibroma(通常は手掌や足底で3cm以下)
- 【手術所見】
-
- 内側広筋下の腫瘤と、周囲の脂肪変性した中間広筋を一塊にして切除
- 中間広筋の筋膜の緊張により屈曲制限が生じていたためこれを横切
- 【病理所見】
-
- 白色充実性腫瘍
- 線維芽細胞様の紡錘形細胞が流れるように束状に増生
- 核分裂像なし
- 中心石灰化を伴う軟骨性分化巣が島状に散在
- 腫瘍は周囲脂肪組織内に不明瞭に広がる
病理診断:Calcifying aponeurotic fibroma
- 【経過】
- 1年後:骨端線抑制術
3年後:残存腫瘍切除、骨端線閉鎖術
5年後:骨端線抑制を検討中
腫瘍学的には安定
- 【石灰化腱膜線維腫 Calcifying aponeurotic fibroma】
-
- 手掌、足底、手/足首に好発(腱、腱膜、筋膜)
- 小児に発生(median 12歳)
- 良性、局所浸潤性
- 通常 < 3 cm
- 局所再発は最大 50%
- 画像では浸潤性の軟部腫瘍、結節状石灰化、強く不均一な増強効果
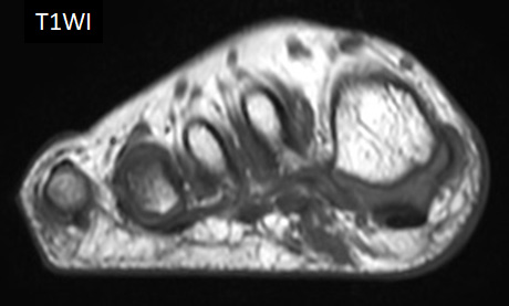
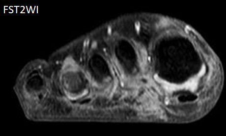
8歳男児 歩行時痛、足底部腫瘤

FST2WI sag
T1WI
FST2WI
Dynamic FST1WI

- 【参考症例】
-
男児
生下時からの右膝腫大
5歳:腫瘤周囲脂肪の増生と大腿四頭筋の萎縮・脂肪変性点状石灰化
15歳:大腿四頭筋腱や膝蓋腱に沿って広がる境界明瞭な腫瘤
10か月男児:Lipofibromatosis
いずれの腫瘍も局所的な過成長を伴った報告はあるが稀。
4か月女児:Fibrous hamartoma of infancy
15か月女児:Lipoblastoma
- 【Calcifying aponeurotic fibroma と lipofibromatosis】
-
- 好発年齢、若干の男性優位、50%程度の再発率など類似
- 病理学的に両者の細胞成分も類似(成熟脂肪と石灰化に違い)
- Calcifying aponeurotic fibromaで高率にFN1-EGF fusion
- Lipofibromatosisの遺伝子変異は多彩
- Lipofibromatosisの一部でFN1-EGF fusionが見られ、その場合は初発時は典型的なlipofibromatosisだったが、再発時に脂肪が減少し典型的なCalcifying aponeurotic fibromaの像を呈した(2例)
- Lipofibromatosisの一部はcalcifying aponeurotic fibromaの早期像?
- 【最後に ー小児の線維性腫瘍ー】
-
- 画像所見はoverlapが大きい(組み合わせて総合的に・・・)
- 線維のT2WIでの信号
膠原線維は黒い、線維芽細胞はちょっと白い、myxoidは白い
- 先天性病変
infantile myofibroma, infantile fibromatosis, fibrosarcoma
- 石灰化
infantile myofibroma, calcifying aponeurotic fibroma
- 脂肪成分の増生
lipofibromatosis, fibrous hamartoma of infancy
- 指趾発生±多発
infantile digital fibromatosis
- 手掌・足底に好発
calcifying aponeurotic fibroma
- 【参考文献】
-
- Journal of Dermatology 2006; 3: 169–173
- Mod Pathol. 2019 Mar;32(3):423-434.
- J Pathol. 2016 Mar;238(4):502-7.
- Virchows Arch. 2020 Jan;476(1):57-64.