学術集会

Meeting

レントゲンカンファレンスはこちら

レントゲンカンファレンス症例・解答と解説



第39回 日本画像医学会 (2020年2月)

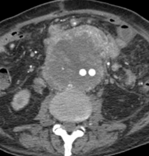
No.150症例10:80歳代 女性
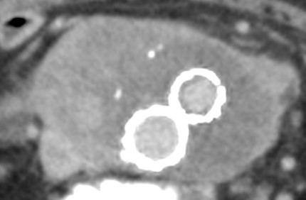
【画像所見のまとめ】
  • 大動脈の右側、内膜石灰化よりも外側に、造影効果を有する占拠性病変を認める
  • 両側肺野に微小な結節を多数認め、 1週間の経過で増大している
【鑑別】
  • IgG4関連動脈周囲炎
  • 感染性大動脈瘤
  • エンドリークによる瘤の増大
  • 大動脈原発肉腫
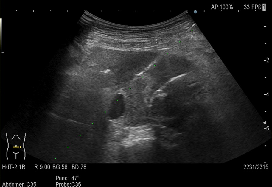
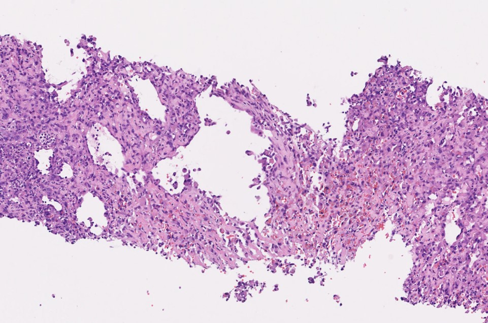
【超音波ガイド下針生検】

診断:ステントグラフト挿入術後に生じた大動脈原発肉腫(Aortic epithelioid angiosarcoma)および肺転移

【大動脈原発肉腫】
  • 症状は発熱や腹痛、腰背部痛、体重減少など非特異的
  • 非常に増大傾向が早く、予後不良
  • 診断時すでに転移のある例が大半を占めるとの報告もあり、手術は困難な場合が多い
【大動脈瘤術後に生じる大動脈肉腫】
  • 人工血管置換術後
    多くは術後5年以降
  • 近年、ステントグラフト挿入術後の報告例が増加
  • 病理診断;多くは類上皮血管肉腫
    特発性大動脈肉腫における頻度と異なる
  • ポリエステル(ダクロン)、PTFE(テフロン)、ニッケル-チタン合金等、種々の材質で報告
  • Intimal type:血管内腔に突出する疣贅様の腫瘤
    • 血栓と紛らわしい
    • 不均一な造影効果を有する
  • Mural type:血管の外側に存在する結節状・三日月状の腫瘤
  • 血管新生による造影効果
  • FDG-avid
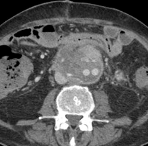
【参考症例】
  • 初回CT
  • 22日後のCT
【血管肉腫:血液データの特徴】
  • 画像所見はoverlapが大きい(組み合わせて総合的に・・・)
  • 貧血;RBC ↓
  • 凝固系の異常;PT-INR ↑, APTT ↑, PLT ↓
    • 消費性凝固障害(consumption coagulopathy)
    • DIC(播種性血管内凝固症候群)
【参考文献】
  1. Eric A. Whittington, MD, Lisa D. Duncan, MD, and Michael M. et al
    Pleomorphic undifferentiated aortic sarcoma presenting as persistent endoleak after endovascular aneurysm repair
    J Vasc Surg Cases Innov Tech. 2019 5(3): 294–297.
  2. Patrick C. Yu, MD, Brett Aplin, MD, and Amy B. Reed, MD
    Angiosarcoma of the abdominal aorta after endovascular aneurysm repair
    J Vasc Surg Cases Innov Tech. 2019; 5(4): 506–508.
  3. James Fenton , Michelle Veenstra , Paul Bove
    Angiosarcoma Involving Native Abdominal Aortic Aneurysm Sac After Endograft Repair
    Ann Vasc Surg. 2014 28 (2), 490.e1-4