学術集会

Meeting

レントゲンカンファレンスはこちら

レントゲンカンファレンス症例・解答と解説



第23回 日本画像医学会 (2004年2月)

No.23症例1:58歳女性

診断:ピロリン酸カルシウム結晶沈着症
calcium pyrophosphate dihydrate (CPPD) crystal deposition disease

【画像所見】
CT
左顎関節に石灰化を伴う腫瘤性病変が認められる.下顎骨関節頭および顎関節窩にはerosionがみられ,中頭蓋底の骨欠損をきたしている.石灰化は密な顆粒状で,比較的均一に分布しているが,一部に小結節状のものも混在している.
MRI
左顎関節の腫瘤はT1/T2WIともに低信号を示し,不均一な造影効果を認める.顎関節頭にも異常信号と造影効果がみられる.中頭蓋窩への進展はない.
【画像所見のポイント】
  1. 関節内の石灰化を有する腫瘤
  2. 石灰化のパターンは密な顆粒状
  3. MRIでT1/T2WIともに低信号
【その後の経過】
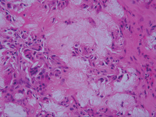
滑膜性骨軟骨腫症の術前診断で手術が行われ,腫瘤摘出と中頭蓋底骨の側頭筋弁による充填が行われた.病理組織学的には線維化,異物型巨細胞,類円形の組織球系細胞に加え,多数の角材?針状結晶がみられ,ピロリン酸カルシウムの結晶沈着症の所見であった.
  • 図7 病理組織像
【解説】
ピロリン酸カルシウム結晶沈着症は偽痛風と呼ばれる急性関節炎をきたす他に,関節軟骨の石灰化(chondrocalcinosis)や種々のパターンの慢性関節症をきたす.関節内(関節軟骨,滑膜)や関節周囲(関節包,腱,靱帯)に石灰化をきたすことが特徴とされるが,その頻度は報告によってさまざまである.この症例のように腫瘤状の石灰化をきたすものは,痛風結節(tophus)になぞらえてtopahaceous pseudogoutと呼ばれることがある.この症例でみられる画像所見は結晶沈着に伴う石灰化とその周囲の線維化,肉芽形成を反映していると考えられる.
鑑別としては,関節内やその周囲の石灰化をきたしうる疾患が挙げられ,特に滑膜性骨軟骨腫症synovial osteochondromatosisとの区別が問題になる.滑膜性骨軟骨腫症では軟骨形成を反映して,不均一な点状?斑点状を示すことが多く,MRIT2強調像で強い高信号を示し,造影MRIでリング状あるいは隔壁状のエンハンス効果を示すことが特徴である.