学術集会

Meeting

レントゲンカンファレンスはこちら

レントゲンカンファレンス症例・解答と解説



第23回 日本画像医学会 (2004年2月)

No.29症例7:34歳、女性

診断:アルコール性肝硬変に発生した肝過形成結節
hyperplastic nodule

【画像所見】
肝S8に境界明瞭な腫瘤を認める.腫瘤はダイナミックCT,CTHAにて多血性であり、CTAPにて門脈血流を欠くことがわかる.ダイナミックCT平衡相では濃染する被膜様構造を認める.多血性肝細胞癌と酷似する所見であるが、平衡相での造影剤のwashoutは肝細胞癌に比し悪い印象をうける.
腫瘤はT1強調像で周囲肝と等信号、T2強調像にて低信号となる.T2*強調画像で腫瘤内信号は不均一な低信号を呈することから、結節内の鉄沈着が疑われる.しかし、SPIO造影後、腫瘤内の信号低下は明らかではなく、鉄取り込み能を欠いている様である.被膜様構造はT1強調像で低信号、T2強調像にて高信号を呈する.多血性肝細胞癌としては、鉄沈着が疑われること、結果としてT2強調像で低信号であることが合わない.
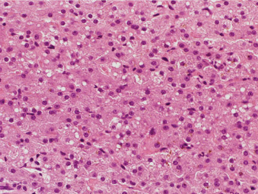
結節は膨張性発育を示し、線維性被膜を有していた.H-Eにて、結節部は周囲肝に比し、中程度細胞密度が増大した過形成結節の像を示していた.鉄染色にて、結節内に鉄沈着が顕著であった.
  • 図9 H-E染色
  • 図10 鉄染色
【解説】
肝細胞性結節(hepatocellular nodule)の分類は未だ混乱しているが,病理学の進歩に伴い,現在は1995年のInternational Working Party(IWP)分類を用い,肝細胞性結節の呼称を世界的に統一使用とする方向にある(1).この分類の特徴は結節を1)再生(反応)性(regenerative lesion),と2)腫瘍性(neoplastic/dysplastic lesion)に大別することにあり,IWP分類上,未解決分野である1)と2)の境界病変と考えられるdysplastic noduleもその後の研究でlow-gradeは1)に,high-gradeは2)に分類される傾向にある(2).そういう中において,アルコール多量摂取による慢性肝障害例に見られる過形成結節はその中間的性格を示す特異的な結節である.この結節群はウイルスマーカー陰性の比較的若年者のアルコール多飲者に2cm以下の単発または多発性結節として見られ,生検診断では高分化型肝細胞癌と誤診される症例も少なくないが,一般的に成長したり癌化したりすることはないとされる.発生時期はアルコール飲酒期より禁酒あるいは非飲酒期に多いとされるが,禁酒により肝細胞に再生機転がより強く働く結果,肝細胞に過形成を来すからではないかと考えられている(3).病理学的にはやはり過形成結節の一つであるAdenomatous hyperplasia(AH)と違い,結節内部に門脈域を欠く代わりに動脈様の筋性異常血管を含む瘢痕様線維化巣が腫腫の程度で認められることから,focal nodular hyperplasia(FNH)に近いものと考えられるが,高頻度に線維性被膜を持つなど肝細胞癌に類似した所見も併せ持つ(3).画像的報告はまだ少ないが,肝動脈優位(多血性)で,被膜が同定されることが多く,多血性肝細胞癌と鑑別を要する点で重要な疾患である.肝細胞癌に比し,ダイナミックCT平衡相での造影剤washoutが遅い傾向があることが指摘されている(4).鉄沈着が高頻度に認められることもこの結節の特徴であり,これを反映し,T1強調像で等―高信号,T2強調像で低信号を呈することが多い(3),(4).多血性肝細胞癌における鉄沈着はまれで,T2強調像で低信号を呈することは通常無いことから,若年のアルコール多飲者に多血性小結節を見た場合,過形成結節をまず疑ってMRIを施行してみることが重要と思われる.
【参考文献】
  1. International Working Party: Terminology of nodular hepatocellular lesions. Hepatology 1995; 22: 983-993.
  2. 中野雅行.Liver Cancer.癌と化学療法社2001;7:115-124.
  3. 中島収他.アルコール多飲者の肝過形成結節に関する臨床病理学的研究.肝臓1996;37:704-713.
  4. 加村毅他.純アルコール性慢性肝疾患に見られる多血性肝腫瘤性病変の検討.臨床放射線2002;47:655-662.