学術集会

Meeting

レントゲンカンファレンスはこちら

レントゲンカンファレンス症例・解答と解説



第23回 日本画像医学会 (2004年2月)

No.30症例8:47歳、女性

診断:発作性夜間血色素(ヘモグロビン)尿症に続発したBudd-Chiari症候群
Paroxysmal Nocturnal Hemoglobinuria; PNH

【画像所見】
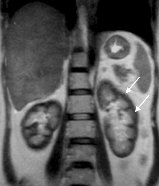
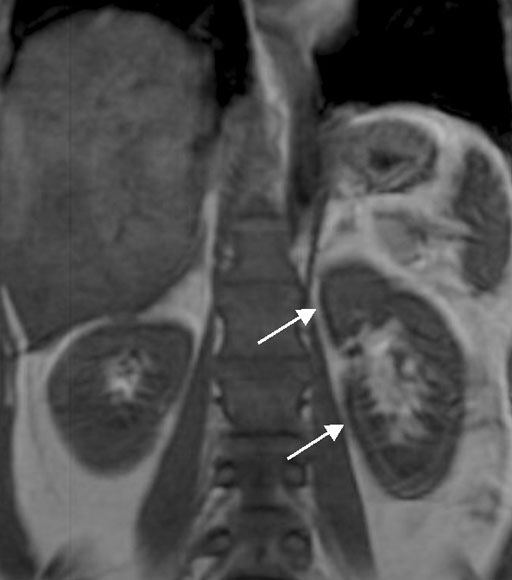
T1,T2強調画像ともにhemogiderin沈着を反映し、腎皮質が低信号を呈している(白矢印)
肝静脈は狭小化し、肝実質相であるにもかかわらず、肝静脈は造影されていない(黒矢印)
下大静脈内に血栓が同定される(白矢印)
  • 図5
  • 図6
  • 図7
  • 図8
【解説】
PNHは赤血球膜の後天性異常によって補体に対する感受性が高まり,血管内溶血を来す疾患である.症状はヘモグロビン尿症を特徴とし,出血や静脈血栓症,腎障害を来すこともある.溶血により遊離したヘモグロビンは,糸球体を通過した後,一部は直接尿中に排泄されヘモグロビン尿症を引き起こし,近位尿細管で再吸収されたヘモグロビンはヘモジデリンとして腎皮質に沈着する.これを反映し,腎皮質は単純CTで軽度高吸収,T2強調像で低信号となることが画像所見の特徴とされる(1).この所見に対する感度は,一般にMRIのほうがCTよりよいとされる.他の溶血性貧血(sickle cellanemia, thalassemia, autoimmune hemolytic anemia, hereditaryspherocytosis)との鑑別点はヘモジデリン沈着の部位からある程度可能である.すなわち上記疾患に見られる溶血は血管外溶血が主で,ヘモジデリン沈着は脾臓および肝臓に起こるのに対し,血管内溶血により生じたPNHのヘモジデリン沈着は直接腎皮質に起こり,輸血などの修飾がなければ肝,脾は正常に見られる(2).PNHの患者の39%では,臨床的に一カ所以上の静脈内血栓症が認められると報告されており(3),多発性に見られる静脈内血栓所見がPNHのもう一つの画像所見の特徴となる.そのうち肝静脈血栓症は最も頻度が高いとされ,この症例のように,静脈血栓が肝静脈または下大静脈の肝静脈流入部に及ぶと続発性のBudd-Chiari症候群が引き起こされることが知られている.Budd-Chiari症候群における画像所見は特徴的であり,肝静脈または近傍下大静脈の狭小・不明瞭化やその内部に血栓が同定されれば診断は比較的容易であろう.肝静脈鬱血を反映し,肝とくに尾状葉の腫大と腹水に加え,肝実質の濃度(信号強度)がびまん性に不均一になることが特徴である(4).PNHに続発したBudd-Chiari症候群の報告は今まで数例が散見される程度であるが(5),PNHにおける肝静脈血栓症の合併頻度からは,Budd-Chiari症候群を見た場合,PNHを考慮する必要があるものと思われる.
【参考文献】
  1. Roubidoux MA, et al. MR imaging of hemorrhage and iron deposition in the kidney. RadioGraphics 1994; 14: 1033-1044.
  2. Lupetin AR, et al. Magnetic resonance appearance of the kidneys in paroxysmal nocturnal hemoglobinuria. Urol Radiol 1986; 8: 101-103.
  3. Hillmen P, et al. Natural history of paroxysmal nocturnal hemoglobinuria. N Engl J Med 1995; 333: 1253-1257.
  4. Soyer P, et al. Budd-Chiari syndrome: imaging with pathologic correlation. Abdom Imaging 1993; 18: 329-335.
  5. Ross LT, et al. Case 51: Paroxysmal nocturnal hemoglobinuria with thrombotic Budd-Chiari syndrome and renal cortical hemosiderin. Radiology 2002; 225: 67-70.