学術集会

Meeting

レントゲンカンファレンスはこちら

レントゲンカンファレンス症例・解答と解説



第24回 日本画像医学会 (2005年2月)

No.36症例2:74歳、男性

診断:筋肉内転移(肺癌)

【画像所見】
下腿部造影CT(図1)にて左腓腹筋外側頭の腫大がみられ,わずかに低吸収を示しているが,腫瘤の境界は不鮮明である.MRIでは境界比較的明瞭で,辺縁分葉状の腫瘤が認められ,T1強調像(図2)では周囲の筋肉よりもわずかに高信号,T2強調像(図3)では不均等な高信号を呈している.造影後のT1強調像(図4)では腫瘤の辺縁部に造影効果が認められ,中心部は造影されず壊死を伴っていると思われる.腫瘤周囲の筋肉も広範に造影されており,浮腫の存在が示唆される.
【手術所見】
悪性線維性組織球腫などの原発性の悪性軟部腫瘍が疑われたが,筋肉内に限局した病変であったため,腫瘍の摘出術が施行された.腫瘍は腓腹筋外側頭の後面に顔を出しており,周囲とは容易に剥離でき,周囲組織を含めた全摘が可能であった.
【病理学的所見】
壊死傾向の強い低分化型の扁平上皮癌であり,筋肉内転移が疑われた.
【解説】
骨格筋は全身の約40%を重量を占め,血流の多い組織であるにもかかわらず,悪性腫瘍の筋肉への遠隔転移は稀である.筋肉転移が少ないのは,収縮による瞬発的かつ持続的な内圧の上昇などの物理的要因,乳酸などの代謝産物やpHなどの化学的要因,血流の激しい変動などが,癌細胞の定着に適さず,細胞の増殖に抑制的に働くことが主な理由として挙げられている.運動によって発生する熱も抑制因子と考えらるが,促進因子とする報告もある.また,外傷が関連する可能性も示唆されており,過去に筋断裂などを起こした部位に転移が起こりやすいといわれている.
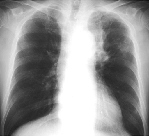
原発巣としては,肺癌,乳癌,大腸癌,腎癌,悪性黒色腫が多く,中でも肺癌が最も頻度が高く,扁平上皮癌,腺癌および他の組織型でも認められる.胃癌,食道癌,甲状腺癌,卵巣癌,喉頭癌,子宮頸癌,その他さまざまな血行性の遠隔転移が報告されている.本症例は筋肉腫瘤が初発症状で,初診時に胸部に異常は指摘できなかったが,術後1ヵ月後の胸部X線写真(図5)にて,左肺門上部の腫瘤影と左上葉の無気肺が認められた.
筋肉内の転移性腫瘍のCTおよびMRI所見は非特異的であり,CTでは低~等濃度,MRIのT1強調像で低信号,T2強調像で高信号を示す境界比較的明瞭な腫瘤として認められる.病変の検出ならびに拡がりの診断にはCTよりもMRIの方が優れている.腫瘤辺縁部は造影されるが,中心部には壊死を伴っていることが多い.悪性線維性組織球腫,横紋筋肉腫,平滑筋肉腫,脂肪肉腫,悪性神経鞘腫などの悪性の軟部組織腫瘍が鑑別診断の対象になるが,画像診断による鑑別は困難である.
悪性腫瘍の骨格筋転移は稀ではあるが,近年報告が増加しており,担癌患者において,筋肉内に造影効果を有する腫瘤やびまん性の筋腫大を認めた場合には,転移の可能性を考慮する必要がある.
  • 図5 胸部単純X線写真
【参考文献】
  1. Sridhar KS, Rao RK, Kunhardt B. Skeletal muscle metastases from lung cancer. Cancer 1987; 59: 1530-1534.
  2. Pretorius ES, Fishman EK. Helical CT of skeletal muscle metastasis from primary carcinoma. AJR 2000; 174: 401-404.
  3. Magee T, Rosenthal H. Skeletal muscle metastases at sites of documented trauma. AJR 2002; 178: 985-988.