学術集会

Meeting

レントゲンカンファレンスはこちら

レントゲンカンファレンス症例・解答と解説



第25回 日本画像医学会 (2006年2月)

No.41症例1:0歳11ヶ月 男児

診断:Cystic partially differentiated nephroblastoma
(Multilocular cystic renal tumor)

【画像所見】
CT(図1,2)
右腎臓に巨大な多房性嚢胞病変を認める.石灰化所見はなく,腎実質は辺縁に圧排されている.隔壁構造はわずかに造影増強効果を認める.
MR(図3~7)
CTと同一断面の横断像のT1強調,T2強調画像,Gd造影T1強調画像.T1強調画像低信号,T2強調画像で嚢胞内は著しい高信号を認め,出血,壊死を疑う所見はなく,隔壁は強い造影増強効果を認める.嚢胞壁は平滑で結節構造は指摘できない. 鑑別診断のポイント:小児,新生児の腎臓原発嚢胞性病変の鑑別.
【解説】
Multilocular cystic renal tumorはまれな嚢胞性腎腫瘍である.3ヶ月から2歳までの男児に多く,残り1/3は50―60歳代の女性に認める.小児例では無症状のことが多い.病理学的には良性であるcystic nephromaと悪性ポテンシャルを有するCystic partially differentiated nephroblastoma(CPDN)とに分類される.出血,壊死はなく石灰化を認めることはまれである.嚢胞間の交通はなく扁平な一層の上皮に覆われる.CPDNは間質内に分化した尿細管やblastemal element, embryonal elementを有し,再発,転移の報告例がある.画像所見からこの二者は鑑別困難とされる.外科切除で最終診断がされる.画像上で鑑別すべき疾患は,出血,壊死をきたし嚢胞変性となったWilms tumor,clear cell sarcoma, cystic variations of mesoblastic nephroma, renal cell carcinoma, multicystic dysplastic kidney(segmental form)である.本症例はMR画像から出血,壊死の所見はなく,CT所見からも石灰化は認めず,Multilocular cystic renal tumorとの診断は比較的容易と思われる.
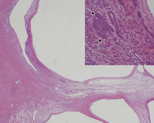
  • 図8 病理組織像
【参考文献】
  1. Hopkins JK, et al. Best cases from the AFIP: cystic nephroma. Radiographics. 2004 Mar-Apr; 24 (2):589-93.
  2. Agrons G, et al. Multilocular cystic renal tumor in children: radiologic-pathologic correlation. Radiographics 1995; 15: 653-669.