学術集会

Meeting

レントゲンカンファレンスはこちら

レントゲンカンファレンス症例・解答と解説



第26回 日本画像医学会 (2007年2月)

No.51症例5:82歳、女性

診断:特発性食道破裂
Boerhaave症候群

【所見】
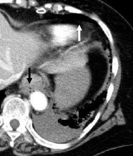
胸部単純写真(図1)では左肺の透過性が低下しており,左胸水の存在が疑われる.遊離ガスは指摘できない. 胸部CT(図2,3)では下部食道壁の肥厚が認められる.背側壁内にガス泡が認められ,心嚢腹側には遊離ガス像認める.左胸水認める.背側が高濃度となっており,食道破裂が胸腔に穿破し,内容が貯留しているものと思われる. 手術所見:食道左側後壁の粘膜に4㎝ の縦走する裂創を認め,胸腔内には多量の食物残渣を認めた.
【解説】
特発性食道破裂(Boerhaave症候群)は1724年Boerhaaveにより報告された原因不明の食道破裂で,嘔吐(多くは飲酒後)などによる食道内圧の急激な上昇が要因とされている.破裂部位は下部食道が90%以上で,その70%が左側壁である.同部の筋層が解剖学的に脆弱であることや周囲支持組織の欠如などが関与していると考えられている.性別では男性に多く発症する.
症状は激烈な胸痛,背部痛,心窩部痛でしばしば呼吸困難を伴う.
胸部単純写真では下部食道破裂では左胸水,中部食道では右胸水を認めることが多い.炎症のため縦隔拡大がみられることもある.皮下気腫,縦隔気腫を認めることもある.
確定診断には水溶性造影剤による食道造影が必要であるとされているが,本症例のようにCTにて胸腔内の残渣,縦隔気腫など認めれば診断は可能と思われる.
治療は破裂後早期の穿孔部の縫合閉鎖,ドレナージが原則であるが,保存的加療が奏功した症例も報告されている.一般的に発症後24時間経過した症例は保存的治療が行われる.
鑑別診断は狭心症,心筋梗塞,気胸,急性膵炎などである.比較的稀な疾患であるため疑うことが重要である.
従来は致命率の高い疾患とされてきたが,本疾患に対する認識の高まりや集中治療管理の進歩などににより予後は改善傾向にあり,近年の報告では10%台と報告されている.
造影CT(図3-c)
食道壁の肥厚および壁内のガス泡(黒矢印),遊離ガス(白矢印),背側が高濃度呈する胸水を認める.