日本画像医学会
文字サイズ
標準
大
関連サイト
お問い合わせ
理事長ご挨拶
Greeting
学会からのご案内
Information
学術誌
Journal
学術集会
Meeting
学会レター
News
学術集会
Meeting
トップページ
学術集会
レントゲンカンファレンス症例・解答と解説
症例:No.77の解答と解説
学術集会
開催のご案内
学会賞のご案内
レントゲンカンファレンス
症例・解答と解説
抄録集アーカイブ
レントゲンカンファレンス症例・解答と解説
第31回 日本画像医学会 (2012年2月)
No.77
症例1:
50代男性
診断:下垂体炎、硬膜炎、三叉神経の炎症性偽腫瘍
【画像所見】
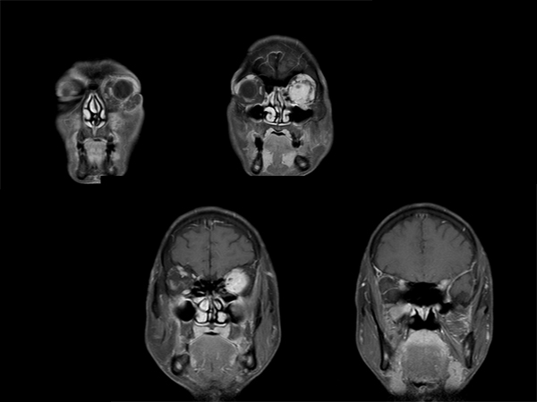
眼瞼腫脹と視力低下
見るからに眼窩内偽腫瘍 + 三叉神経の腫大
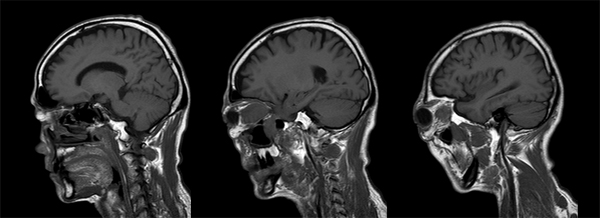
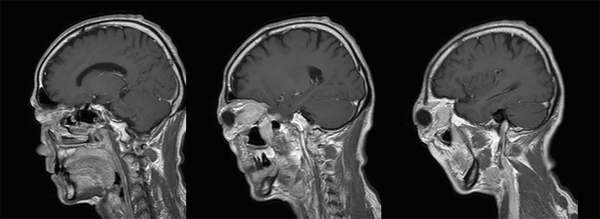
T1強調画像
T2強調画像
造影後冠状断
造影後矢状断:
IgG4 計ってもらうと上昇あり
解説:IgG4関連全身硬化性疾患
IgG4関連全身硬化性疾患
男性優位50代~60代
血清学的に高IgG4血症
組織学的にIgG4陽性形質細胞やリンパ球浸潤
臨床的に多彩:ミクリッツ病、間質性肺炎、自己免疫性膵炎、後腹膜線維症、間質性腎炎など
治療:ステロイドに反応性
神経放射線領域のIgG4関連硬化性疾患
下垂体炎、硬膜炎、三叉神経の炎症性偽腫瘍
【参考文献】
Watanabe T, Fujiwara Y, Kawakami S, et al. Infraorbital nerve swelling associated with autoimmune pancreatitis. Jpn J Radiol 2011 29(3):194-201.
Katsura M, Morita A, Horiuchi H, et al. IgG4-related inflammatory pseudotumor of the trigeminal nerve: Another component of IgG4-related sclerosing disease? AJNR 2011 32:E150-E152.
症例No.77に戻る