日本画像医学会
文字サイズ
標準
大
関連サイト
お問い合わせ
理事長ご挨拶
Greeting
学会からのご案内
Information
学術誌
Journal
学術集会
Meeting
学会レター
News
学術集会
Meeting
トップページ
学術集会
レントゲンカンファレンス症例・解答と解説
症例:No.78の解答と解説
学術集会
開催のご案内
学会賞のご案内
レントゲンカンファレンス
症例・解答と解説
抄録集アーカイブ
レントゲンカンファレンス症例・解答と解説
第31回 日本画像医学会 (2012年2月)
No.78
症例2:
61歳男性
診断:Silent sinus syndrome
(別名)
Imploding antrum
Chronic maxillary sinus atelectasis
【画像所見】
CT
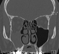
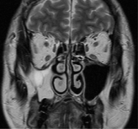
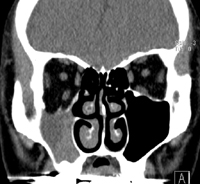
右片側性上顎洞炎
右上顎洞の虚脱
uncinate processの外側への偏位
中鼻道の拡大
眼窩下壁の尾側への偏位;眼窩容積の増大
後方の側頭下窩脂肪の増生
CT冠状断像骨条件表示
CT冠状断像軟部濃度条件表示
CT横断像軟部濃度条件表示
MRI
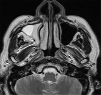
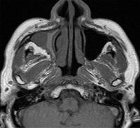
右上顎洞の炎症所見
積極的に腫瘍性病変を示す所見なし
高タンパク内容を反映する信号強度
MRIT2強調冠状断像
MRIT1強調横断像
MRIT2強調横断像
解説:Silent sinus syndrome
【症状】
上顎洞内の陰圧に伴う、症状に乏しい上顎洞の虚脱;眼球下垂、眼球陥凹
uncinate processの外側偏位、眼窩壁との接触に起因するOMU閉塞によって生じる
慢性上顎洞炎による低換気により洞内の陰圧を来たす
【治療】
保存的治療で効果のない場合はESSによる上顎洞自然孔の拡大
【画像所見】
片側性副鼻腔炎
上顎洞の虚脱
眼窩下壁の尾側偏位;眼窩容積増大
uncinate processの外側偏位・眼窩壁との接触によるOMU閉塞
中鼻道の拡大
【参考文献】
Hourany R et al. Silent sinus syndrome: An acquired condition. AJNR 26: 2390-2, 2005
Illner A et al. The silent sinus syndrome: Clinical and radiographic findings. AJR 178: 503-6, 2002
症例No.78に戻る