日本画像医学会
文字サイズ
標準
大
関連サイト
お問い合わせ
理事長ご挨拶
Greeting
学会からのご案内
Information
学術誌
Journal
学術集会
Meeting
学会レター
News
学術集会
Meeting
トップページ
学術集会
レントゲンカンファレンス症例・解答と解説
症例:No.79の解答と解説
学術集会
開催のご案内
学会賞のご案内
レントゲンカンファレンス
症例・解答と解説
抄録集アーカイブ
レントゲンカンファレンス症例・解答と解説
第31回 日本画像医学会 (2012年2月)
No.79
症例3:
61歳男性
診断:非結核性抗酸菌症による 敗血症性塞栓
( Rapidly growing mycobacterium)
【画像所見】
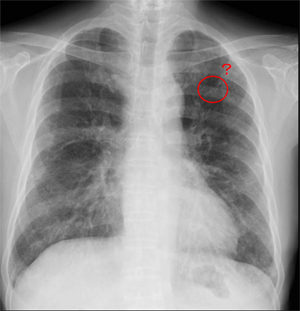
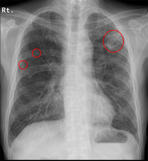
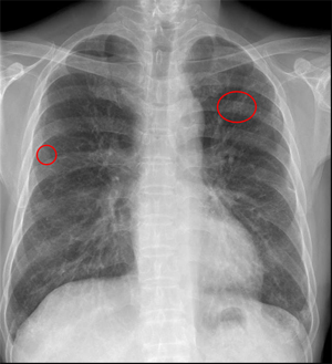
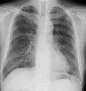
CXR PA
定期受診時(2010.05.10)Baseline
初診時(2010.05.19)
初診5日後 (2010.05.24)
(2010.06.11)背景肺に軽度の肺気腫+間質性肺炎像
(2010.07.18)縦隔リンパ節腫大
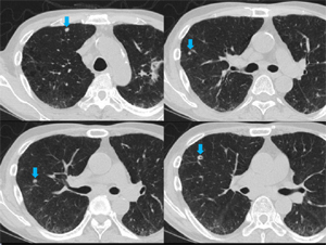
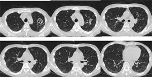
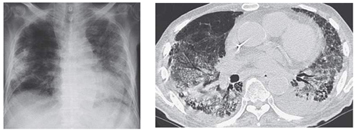
胸部CT
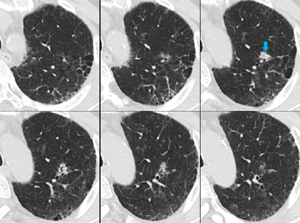
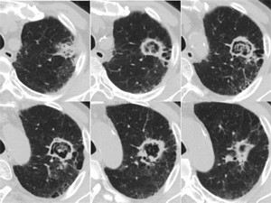
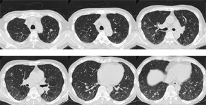
両肺に数少ないが多発結節(小葉との関係は判断困難)の出現、出現速度は速く、増大経過(LVFX抵抗性)
2010.05.27 抗生剤( LVFX )投与開始後 解熱なし
2010.06.2) 初診から5週後
増大したものの一部に空洞形成、左上区の最大のものの空洞内には同心円状・索状構造がみられる
【鑑別診断】
○真菌症
-クリプトコッカス
-カンジダ
○抗酸菌症
-結核
-非結核性抗酸菌
○敗血症性塞栓
-細菌性
-真菌
-抗酸菌
○多発転移性腫瘍
○白血病/リンパ腫
○血管炎
【その後の経過】
抗菌薬(レボフロキサシン)内服開始も解熱なし
血漿β-D-グルカン値正常、アスペルギルス抗体検査陰性
数日後という短時間で血液培養から抗酸菌が検出された→Rapidly growing mycobacterium (RGM)による敗血症と診断(図6)(図7)(図8)
遺伝子検査で最終的に Mycobacterium massiliense が同定された
抗菌薬(主にアミカシン)で加療され、肺病変は縮小
来院から約12か月後に骨髄異形性症候群の白血化により死亡
図6
図7
図8
解説:Rapidly growing mycobacterium
【Rapidly growing mycobacteriumとは】
培地での発育が速い(7日以内)菌種の非結核性抗酸菌群
感染巣として肺(特に肺に基礎疾患のある患者)、全身(特に免疫不全患者での播腫)の他、皮膚・皮下組織、創部、角膜、リンパ節、人工デバイス、カテーテルなどが報告されている 抗酸菌の分類
【RGMによる感染症】
RGMの代表である M. abscessus は、M.avium complex 、M.kansasii の次に多い 肺非結核性抗酸菌症の原因菌とされる
Am J Respir Crit Care Med. 1;175(7):744-5.2007
他の非結核性抗酸菌と違って、 RGM感染症はAIDS患者に多くはないとされており、肺への感染は Cystic fibrosis 患者に多いと報告されている
Ebert DL, Infect Dis Clin North Am 16:221-34. 2002 Mycobacterium massiliense
2003年に M.abscessus から遺伝子学的手法で分離された
Adekambi, T., et al. J. Clin.Microbiol. 41:5699?5708, 2003
クラリスロマイシンの感受性の違いなどが報告されているが、M.abscessusとほぼ似ている
Won-Jung Koh, et al. Am J Respir Crit Care Med. 183:405-410, 2010
RGMによる敗血症
報告は2例で、いずれも血液培養・喀痰培養の両方から M.massiliense が検出された 14: 984
画像報告は1例のみで両肺びまん性線状影・網状影、両下葉優位の consolidation を認めたとされる
Tortoli E, et al. Emerg Infect Dis 14: 984-985, 2008
Kobashi Y, et al. Intern Med 50: 1069-1073, 2011
症例No.79に戻る