日本画像医学会
文字サイズ
標準
大
関連サイト
お問い合わせ
理事長ご挨拶
Greeting
学会からのご案内
Information
学術誌
Journal
学術集会
Meeting
学会レター
News
学術集会
Meeting
トップページ
学術集会
レントゲンカンファレンス症例・解答と解説
症例:No.85の解答と解説
学術集会
開催のご案内
学会賞のご案内
レントゲンカンファレンス
症例・解答と解説
抄録集アーカイブ
レントゲンカンファレンス症例・解答と解説
第32回 日本画像医学会 (2013年2月)
No.85
症例3:
54歳女性
診断:傍骨性軟骨肉腫
Periosteal chondrosarcoma
【画像所見】
腹部造影CT
腹部造影CT(左腎門部レベル)左腎外側の後腹膜に石灰化を伴う内部低吸収域の腫瘤が認められる。 腫瘤は左下部助骨に強く接している。同部で、肋骨の骨皮質が、一部腫瘤に僅かに突出しているようにみえる(矢印)。
図1 腹部造影CT
(右腎上極レベル)
図2 腹部造影CT
(左腎門部レベル)
T1強調横断像
腫瘤は、T1強調in-phase画像で均一な低信号としてみられる。 T1強調out-of-phase画像で、脂肪の存在を示唆する信号低下は認められない。
図3 左:T1強調横断像
(in-phase)
図4 T1強調横断像
(out-of-phase)
T2強調横断像、拡散強調横断像、ADC画像
腫瘤は、T2強調で高信号としてみられる。 拡散強調像では、腎臓と等信号に見られる。ADC画像で高度な拡散制限は認められない。
図5 T2強調横断像
図6 拡散強調横断像(b=1000)
図7 ADC画像
Dynamic MRI
腫瘤は、dynamic MRIで軽度に漸増性の造影効果を示す。
図8 脂肪抑制
dynamic MRI(0秒)
図9 Dynamic MRI
(20秒後)
図10 Dynamic MRI
(120秒後)
図11 Dynamic MRI
(240秒)後
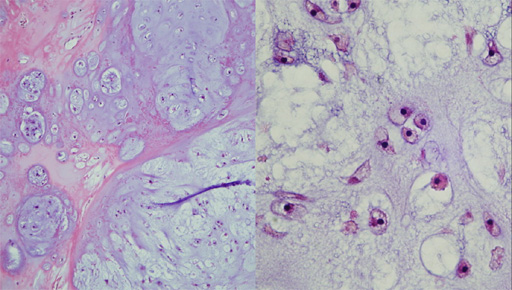
肋骨や横隔膜を巻き込む60×60×35mmの分葉状の腫瘤で、割面はゼラチン状で、嚢胞化や出血を含む。
主に軟骨形成を示す腫瘍で、myxoidな変性を含む。核異型は目立たないが、細胞密度がやや高い部分を含む。。
Chondrosarcoma(肋骨原発)
軟骨肉腫は下肢、骨盤、上肢が多く、肋骨から発生する頻度は約5%
肋骨原発悪性腫瘍の約半数を占め、原発性胸壁悪性腫瘍で最も多い。
年齢:40-70代(平均53歳)に多い。
性差:男性にやや多い。
好発部位:骨軟骨接合部(約80%)の前胸部
【傍骨性軟骨肉腫】
傍骨性軟骨肉腫の多くは、骨軟骨腫に続発した二次性軟骨肉腫である。
傍骨性軟骨肉腫は多発性遺伝性外骨腫症で頻度が高いとされる。
単発性骨軟骨腫の悪性化の頻度は1%未満であるが、特に骨盤、肋骨から起こるものが多い
原則、髄内進展はない。
組織学的には、通常型軟骨肉腫の像を示す。
【Chondrosarcomaの画像】
単純撮影:点状、コンマ状、リング状の石灰化
CT:石灰化を伴う腫瘤
骨皮質の肥厚(grade1)、骨破壊(grade2以上)
MRI(軟骨基質を反映)
多結節状の形態
T1強調像:低信号
T2強調像:高信号、隔壁様の低信号(線維性結合組織)
造影T1強調像:結節を分画する隔壁様の造影効果
症例No.85に戻る