レントゲンカンファレンス症例・解答と解説
第32回 日本画像医学会 (2013年2月)
No.86症例4:11歳 女児
診断:悪性リンパ腫(Burkitt lymphoma)の中枢神経浸潤、骨病変
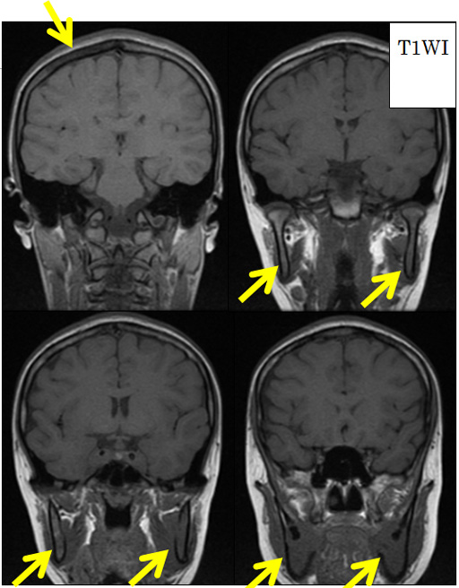
- 【画像所見】
-
頭部造影MRI

- 海綿静脈洞部にT2WIにて低信号の腫瘤あり。腫瘤は均一な増強効果あり。

- 上顎骨、下顎骨、頭頂骨にT1WIで信号低下あり。
FDG-PET

- 両側乳房、両側卵巣、全身の骨、リンパ節、小腸or腸間膜リンパ節にFDG集積あり。
- 【経過】
- 両側乳房の著明な腫大、腹部腫瘤が後に判明した。乳房・腹部腫瘤生検にてBurkitt lymphomaと診断された。一元的に考え、頭蓋内病変もBurkitt lymphomaの中枢神経浸潤と判断された。化学療法を開始後、腫瘤は縮小し、症状も改善を認めた。
Burkitt lymphoma
c-myc遺伝子と免疫グロブリン遺伝子の相互転座に起因する高い増殖能を有する高悪性度B細胞性リンパ腫である。全リンパ腫の1%程度であるが、小児リンパ腫では30-40%と頻度が高い。
発見時には巨大な腫瘤を形成していることが多く、腹部、扁桃、副鼻腔、末梢リンパ節、骨、皮膚、精巣、骨、骨髄、中枢神経などに病変を生じる。
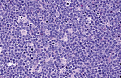
診断は組織学的所見、表現形質、染色体・遺伝子異常から総合的に判断される。組織学的にはHE染色で腫瘍細胞の高密度、びまん性融合性増殖を認め、細胞は中型~大型で均質である。核片を貪食するマクロファージが散在性に淡く抜けたstarry sky appearance(星空像)を呈する。表現形質として典型的にはCD3-/5-/10+/19+/20+/22+/79a+/IgM+/bcl2-/TdT-, MIB-1 index 99%以上を認める。染色体・遺伝子異常として、t(8;14)(q24;q32), t(2;8)(p12;q24), t(8;22)(q24;q11)などを認める。

海starry sky appearance(星空像)
治療は化学療法(全身投与、髄腔内投与)を行う。進行はきわめて速いが、強力な化学療法により小児・若年成人では5年生存率80%程度と良好な予後を示す。
本症例では症状、海綿静脈洞病変からTolosa-Hunt syndromeも考慮された。ただし、骨病変や、後に判明した乳房腫瘤、腹部腫瘤から否定的と考えられた。 Tolosa-Hunt syndromeとは反復性片側性の有痛性眼筋麻痺とステロイドの著効を特徴とする症候群である。海綿静脈洞部に発生する非特異的な炎症、肉芽腫形成が原因とされる。
Tolosa-Hunt syndromeと同様の症状および海綿静脈洞病変をきたす病態として外傷、血管病変、腫瘍、炎症などが知られている(下表参照)。
小児では海綿静脈洞部に病変をきたす疾患として悪性リンパ腫、rhabdomyosarcoma、neuroblastoma、teratoma、転移性腫瘍、その他の良性腫瘍、血管病変、副鼻腔炎などの報告がある。
Tolosa-Hunt syndromeが疑われた場合、その他の症状の確認、全身検索、経過観察などによる他疾患の除外が必要である。ステロイドの治療を開始して著効が確認されても、髄膜腫、悪性リンパ腫、サルコイドーシスなどでも同様の経過をたどる場合があり、注意が必要である。
- 【参考文献】
-
- 丸山 大. バーキットリンパ腫と類縁疾患の診断と治療.臨床血液, 52(10): 1645-1654, 2011.
- Molyneux EM, et al. Burkitt's lymphoma. Lancet. 2012 Mar 31;379(9822):1234-44. Epub 2012 Feb 13.
- L B Kline, W F Hoyt. The Tolosa-Hunt syndrome. J Neurol Neurosurg Psychiatry 2001; 71: 577-582.
- Demirkaya M. Lymphoma of the Cavernous Sinus Mimicking Tolosa-Hunt Syndrome in a Child. Pediatric Neurology 2010;42:351-354.
- Thierry A.G.M. Huisman. Burkitt’s lymphoma with bilateral cavernous sinus and mediasinal involvement in a child. Pediatr Radiol (2003) 33:719-721.