学術集会

Meeting

レントゲンカンファレンスはこちら

レントゲンカンファレンス症例・解答と解説



第33回 日本画像医学会 (2014年2月)

No.89症例1:11歳 男児
【所見のまとめ】
  • 左基底核のT2WI/FLAIRでの高信号、ADC上昇
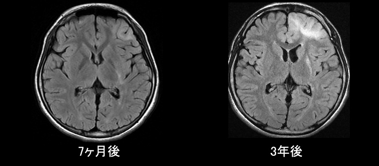
  • 経過中に左前頭葉にT2WI/FLAIR高信号域が出現、左基底核が萎縮
【鑑別診断】
  • ウイルス性脳炎
  • 自己免疫性脳炎
  • MELAS(mitochondrial myopathy, encephalopathy, lactic acidosis, strokelike episodes)
  • Germinoma
  • HHE(hemiconvulsion hemiplegia encephalopathy syndrome)
【経過】
経過1
入院後脳波:発作時、左前頭極部から律動性徐波が出現し、対側へ伝播し広範化する。
薬物療法で発作頻度が減少した時期もあったが、意識減損発作や右上下肢の間代性痙攣等を繰り返していた。
初診から3ヶ月後に髄液GluR抗体陽性が判明した。
Rasmussen脳炎疑い
経過2
定期的なγグロブリン治療、抗てんかん薬内服で加療していた。この間、MRは基底核萎縮の進行以外に変化は無かった。吃音や右手関節・足関節の背屈制限は徐々に進行した。
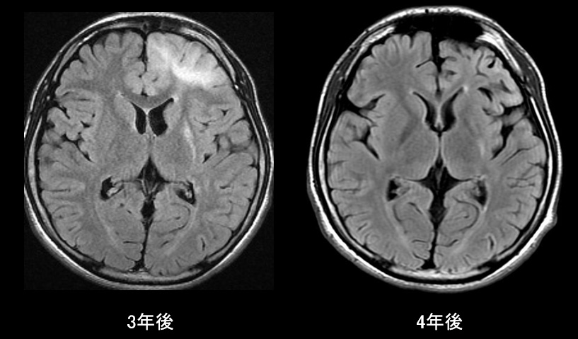
初診から3年後のMRで左前頭葉のT2WI/FLAIR高信号域の拡大が認められたため、脳生検を行った。
→Fragment of cerebral tissue with reactive gliosis
 (Gliomaは否定的)
経過3
腫瘍が除外されたため、ステロイドパルス施行。
退院後、薬物療法で経過観察中。

診断:Rasmussen脳炎

概念:
慢性、進行性、局所性を特徴とする自己免疫性脳炎
原因:
自己抗体関与の可能性(抗GluR3抗体、抗GluRε2抗体等)
症状:
発症から数ヶ月の経過でてんかん発作の頻度が増加
半数以上で持続性部分てんかん発作(EPC)が出現
発症から3年程度で片麻痺の完成、知的障害が出現
成人発症ではより緩徐な経過をとることが多い
治療:
抗てんかん薬、ステロイドパルス、免疫グロブリン大量療法
タクロリムス、片麻痺が固定した時点で患側半球切除術
【Rasmussen脳炎の画像所見】
  • きわめて初期:
    異常なし
    1H-MRSで患側白質のNAA↓
    short TEでglutamate/glutamineが検出される事がある
  • 急性期:
    初回発作の1日〜4ヶ月後にMRで異常が出現
    脳回の腫大(前頭・島回領域)
    皮質〜皮質下白質、基底核、海馬がT2WIで高信号
  • 慢性期:
    患側大脳半球、基底核(特に尾状核頭)の萎縮(65%)
    対側小脳半球萎縮、患側海馬・脳幹萎縮
  • 原則として片側性だが、両側性の報告もあり
  • 造影効果なし
  • PET・SPECTでFDG、99mTc-HMPAOの集積低下
    (hot spotが認められたとの報告もあり)
【Rasmussen脳炎の病理所見】
罹病期間に関連する4グループ(Robitaille)
  • グループ1 (active disease):
    罹病期間の短い早期型。多数のミクログリア結節を伴う炎症所見
  • グループ2 (active and remote disease):
    多数のミクログリア結節、血管周囲の円型細胞浸潤、一脳回の完全な壊死
  • グループ3 (remote disease):
    神経細胞脱落とグリオーシス。ミクログリア結節はほとんど認められない
  • グループ4 (nonspecific changes):
    最終段階。円型細胞浸潤やミクログリア結節はほとんど無く、強いグリオーシス形成
【Rasmussen脳炎の診断基準】
Part A
  1. 臨床:限局性けいれんと片側大脳皮質機能欠損
  2. 脳波:片側半球の徐波
  3. MRI:片側半球萎縮と少なくとも次の一つを満たす
    1) 大脳皮質あるいは白質のT2WI/FLAIR像高信号
    2) 同側尾状核頭部の高信号あるいは萎縮
Part B
  1. 臨床:持続性部分てんかんあるいは進行性の片側大脳皮質機能欠損
  2. MRI:進行性の片側半球皮質の限局性萎縮
  3. 病理組織:活動性ミクログリア浸潤を伴うTリンパ球優位の脳炎
    多数のマクロファージ、Bリンパ球、形質細胞、ウイルス封入体の存在はRasmussen脳炎を除外する。
注)Part Aの三つとも当てはまるか、Part Bのうちの二つ以上脳生検が行われていないときには血管炎を除外するために、MRIで造影効果がないこと、CTで石灰化がないことを確認する必要がある
【参考文献】
  1. Bien CG, et al. Pathogenesis, diagnosis and treatment of Rasmussen encephalitis: a European consensus statement. Brain 128: 454-71, 2005. 
  2. 新井信隆ら. Rasmussen脳炎. Clinical Neuroscience 28: 248-9, 2010.
  3. Chiapparini L, et al. Diagnostic imaging in 13 cases of Rasmussen’s encephalitis: can early MRI suggest the diagnosis? Neuroradiology 45: 171-83, 2003.
  4. 山本司郎ら. 抗グルタミン酸受容体抗体陽性を示した亜急性脳炎の1例:MRI・1H-MRS・SPECTの経時的変化からの検討. 臨床神経学 48(3): 196-201, 2007.
  5. Barkovich AJ. In Pediatric neuroimaging, 4th ed. Lippincott Williams & Wilkins, Philadelphia, p.841-2, 2005.
  6. 柳下章. 神経内科疾患の画像診断. 546-8, 2011.
  7. Robitaille Y: Neuropathological aspects of chronic encephalitis. In Andermann F (ed); Chronic encephalitis and epilepsy: Rasmussen’s syndrome. Butterworth-Heinemann, Boston, p79-110, 1991.
  8. Duprez TP, et al. MR-monitored remitting-relapsing pattern of cortical involvement in Rasmussen syndrome: comparative evaluation of serial MR and PET/SPECT features. JCAT 21(6): 900-4, 1997.