学術集会

Meeting

レントゲンカンファレンスはこちら

レントゲンカンファレンス症例・解答と解説



第33回 日本画像医学会 (2014年2月)

No.94症例6:18歳 男性

診断:巨大なメッケル憩室に生じた潰瘍からの出血による貧血

【提示画像】
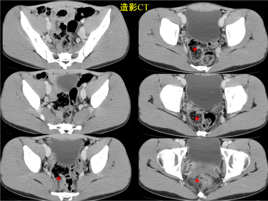
  • 造影CT(腹部〜骨盤部):水平断像のみ
  • MRI(腹部〜骨盤部)各水平断、冠状断像
    脂肪抑制T1WI、T2WI、脂肪抑制T2WI、拡散強調像、造影後T1WI
  • 造影CT
  • T2WI (FSE)
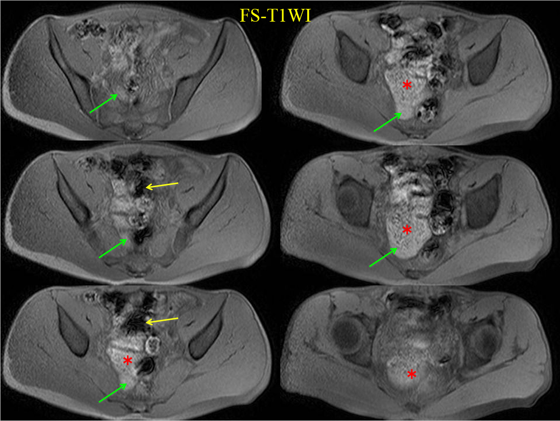
  • FS-T1WI
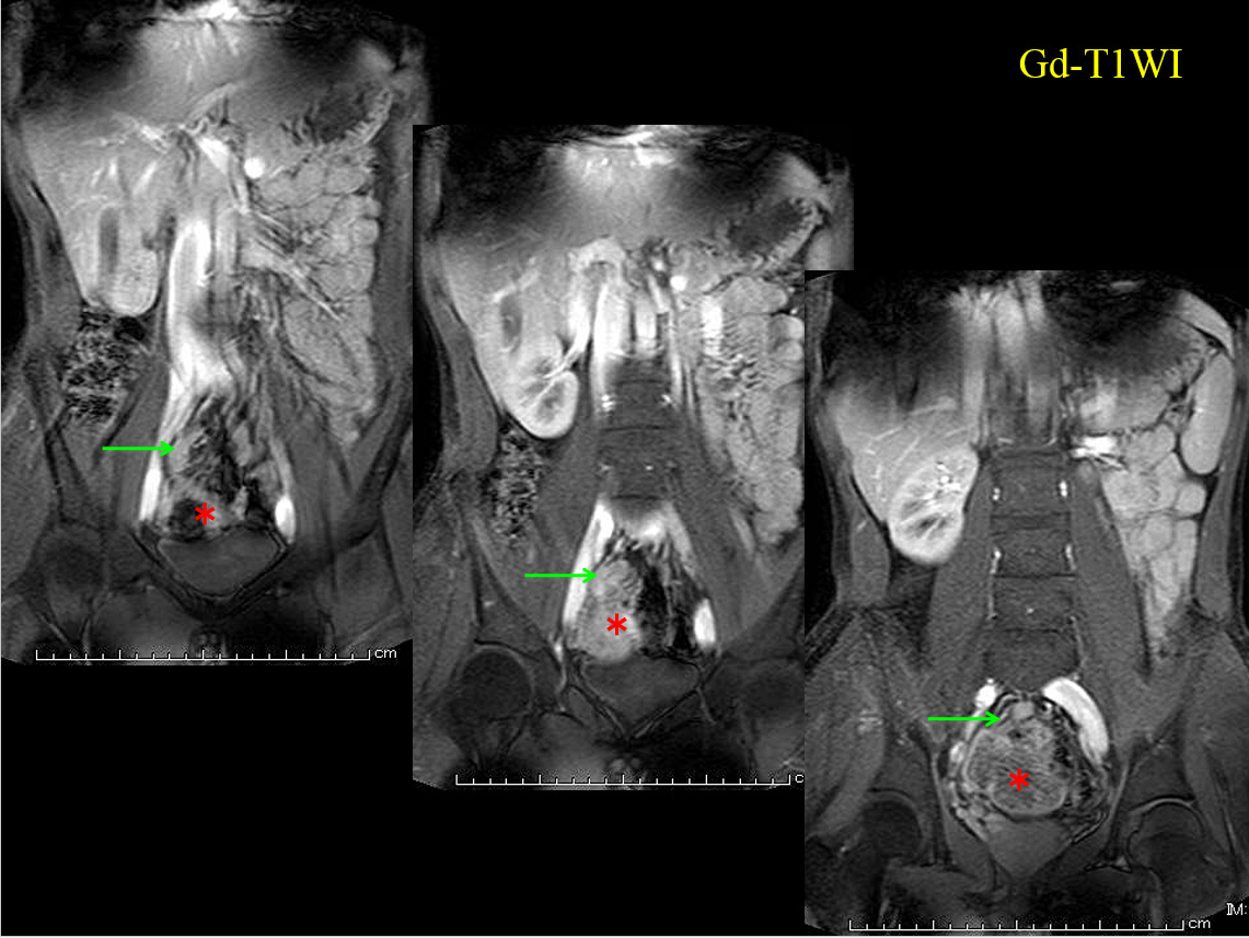
  • Gd-T1WI
  • T2WI (FACE)、
    Gd-T1WI
  • T2WI(FACE)
  • Gd-T1WI
【画像上の鑑別疾患】
CT水平断のみでは、一見して異常所見の指摘は困難(便塊の貯留した直腸との鑑別が困難)である。
MRでは、骨盤内に大きな嚢胞性病変を認める。
すなわちT2WI、T1WIでいずれも高進号を呈すが、脂肪抑制で抑制されず、造影で辺縁部のみわずかに濃染される。
内部には不均一で貯留物があると認識されるが、血性を示唆する所見には乏しい。
骨盤内の嚢胞性病変の鑑別となるが、男性であるため卵巣由来は否定的である。水平断像および冠状断像を丹念に読影すると、同病変は小腸と連続しており、腸管構造の一部であることがわかる。病変の局在は回腸末端に近く、年齢、経過を加味すると、メッケル憩室が最も考えられる。
小腸造影およびダブルバルーン小腸内視鏡検査の解説

有管法による小腸造影にて、骨盤腔内の回腸に部分的な嚢状拡張が描出された。その粘膜面は萎縮性胃炎様であり、潰瘍瘢痕を疑う粘膜集中像も示現された。小腸造影は本症の診断に有用であった。

さらなる精査目的に行われたダブルバルーン小腸内視鏡検査で、嚢状拡張部の小腸内に潰瘍および潰瘍瘢痕が確認された。


  • ダブルバルーン小腸内視鏡
【治療経過】
有管法による小腸造影にて、骨盤腔内の回腸に部分的な嚢状拡張が描出された。その粘膜面は萎縮性胃炎様であり、潰瘍瘢痕を疑う粘膜集中像も示現された。小腸造影は本症の診断に有用であった。
さらなる精査目的に行われたダブルバルーン小腸内視鏡検査で、嚢状拡張部の小腸内に潰瘍および潰瘍瘢痕が確認された。
【症状】
巨大なメッケル憩室に生じた潰瘍からの出血による貧血と診断され、憩室部の回腸部分切除術が施行された。
手術所見では回盲弁から口側へ35cmの回腸の腸間膜付着対側に主座をおく嚢状拡張部を認めた。
病理組織学的検索では、大きさが17x14cm大の回腸の部分拡張の形態をとり、同部には異所性胃粘膜の他、異所性膵粘膜も存在し、メッケル憩室の確定診断を得た。
術後、貧血や便潜血等の諸症状は改善された。
【文献考察等】
メッケル憩室は、胎生期の卵黄管の遺残による小腸の真性憩室であり、多くは回盲弁より100cm以内(平均50cm)の回腸の腸間膜付着対側に存在する。
消化管の先天異常の中で最も頻度が高く、剖検例の検索で1~2%とされている。
通常、メッケル憩室は無症状で経過し存在診断は困難であるが、腸閉塞、出血、憩室炎、捻転、穿孔等の合併症により発見されることが多い。
憩室のサイズは様々であるが、10cm以上の巨大メッケル憩室は捻転で発見されるものが多い傾向にある。自験例は長引く貧血によって画像で指摘された症例であり、比較的希なケースと考える。
【参考文献】
  1. Yamaguchi et al. : Meckel’s diverticulum : Investigation of 600 patients
    in Japanease literature.Am. J. Surg. 136 : 247-249, 1978
  2. 須藤弘之ら : 消化管出血を契機に診断された巨大なMeckel憩室の1例.
    Endoscopic forum for digestive disease Vol. 9 No. 1, 1993
  3. 長田啓嗣ら : 小腸造影にて診断し得た成人巨大メッケル憩室の1例.
    外科診療, 第37巻, 1号 : 93-97, 1995
  4. 松友寛和ら :Meckel憩室茎捻転の1例.日消外会誌, 31(4) : 960-963, 1998
  5. 平木将之ら : 11x10cm大のMeckel憩室茎捻転の1例.日臨外会雑誌, 73 : 2295-2299, 2012
  6. 一色彩子ら : 特集 捻転の画像診断 消化管・大網.臨床画像, Vol29, No 10 : 1159-1186, 2013