レントゲンカンファレンス症例・解答と解説
第34回 日本画像医学会 (2015年2月)
No.99症例5:70歳代 女性 2経妊1経産
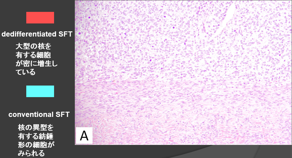
診断:Dedifferentiated solitary fibrous tumor (SFT) in the pelvis
- 【画像所見のまとめ】
-
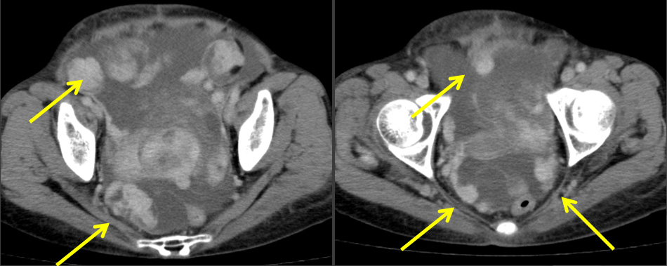
CT
- 骨盤部ほぼ正中に存在する不整形腫瘤。
軟部組織濃度で、内部に不均一な低吸収域がみられる。
- 不均一な造影効果あり。
- 胸水(右優位) 腹水
MRI
- 骨盤部ほぼ正中に存在する不整形腫瘤。
- T1強調像で筋組織とほぼ同等の低信号、T2強調像では内部不均一な高信号を呈する。辺縁優位に造影増強効果を有する。
- 腫瘤は膀胱を尾側へ、子宮・左付属器を背部へ圧排
- 子宮内腔出血? 子宮留血腫
- 腹水
- 【術前画像鑑別診断】
-
- Leiomyosarcoma
- Liposarcoma (myxoid, dedifferentiated type)
- Fibrosarcoma
- Malignant SFT
- 【病理所見】
-
- 多くは長幹骨の骨端に発生。溶骨性、膨張性の腫瘤で、内部に充実成分と出血を伴うことがある。
- 単純X線:多房性溶骨性病変、Soap bubble appearance
- CT:骨稜、微細な骨皮質の断裂や 、びらん
- MRI: T1WI 低-等信号、T2WI 不均一な低-等、時に多房性嚢胞性変化や液面形成を伴う。
Dedifferentiated solitary fibrous tumor (SFT) in the pelvis
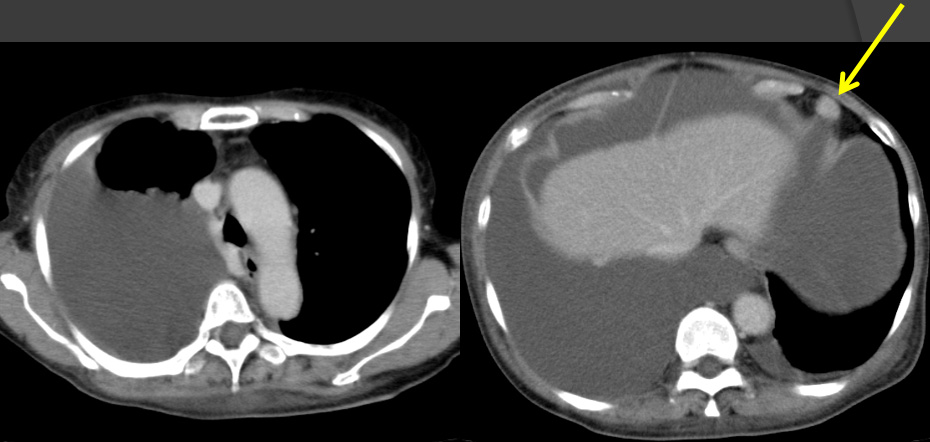
術後5カ月 手術+化学療法後再発

胸膜、腹腔内、腹膜に播種性に再発
- 【Solitary fibrous tumor (SFT)】
-
- 中皮下間葉系由来の線維性腫瘤
多くは胸膜に発生するが、本症例の様に骨盤腔に発生するものも報告されている
- 10万人あたり、2.8人に発生
- 60-70歳代に好発し、男女差はない
- 約5 %に悪性の経過を辿るものがある
- CD 34免疫染色が陽性
- 【骨盤部SFTの画像所見 】
-
CT
- サイズが小さいものは、均一な造影効果、腫瘍径が大きいものでは内部に嚢胞変性、壊死、出血を伴うものがある
- 線維成分を反映して、後期相で造影効果を示す
- 石灰化は約7%
MRI
- T2強調像で、腫瘤の低信号領域の中に不均一な高信号を呈する
- 比較的サイズの大きいものでは粘液腫様変性、壊死、出血を伴う
- 造影増強効果を有する
- 【結語】
- 骨盤部に発生したdedifferentiated SFTの1症例を経験した。
頻度は稀であるが、SFTが脱分化して肉腫化し、他の肉腫との鑑別が困難となることがある。
- 【参考文献】
-
- Aiko Kurisaki et al; A case of dedifferentiated solitary fibrous tumor in the pelvis with TP53 mutation. Virchows Arch 2014, 465: 615-621
- Xue-Ming Li, et al: Solitary fibrous tumors in abdomen and pelvis: Imaging characteristics and radiologic-pathologic correlation. World Journal of Gastroenterology. 2014 May 7; 20(17): 5066-5073