学術集会

Meeting

レントゲンカンファレンスはこちら

レントゲンカンファレンス症例・解答と解説



第43回 日本画像医学会 (2024年2月)

No. 153 症例3:30歳代女性
【画像所見】
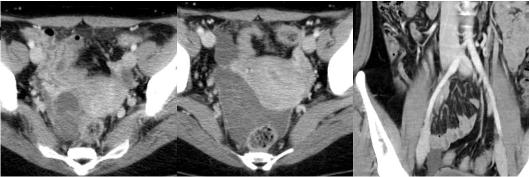
CT:

両側卵巣に嚢胞構造
骨盤底部に腹水+軽度腹膜肥厚、腹水の一部がもやもやしている
虫垂の腫大はない

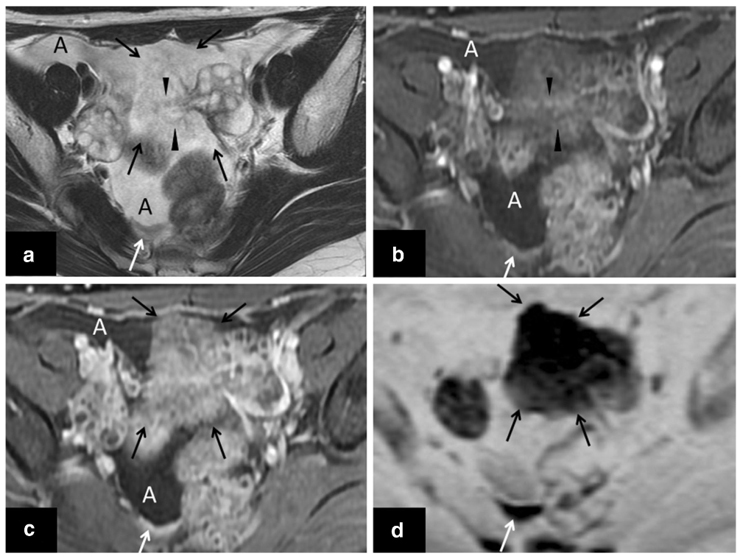
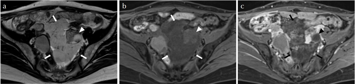
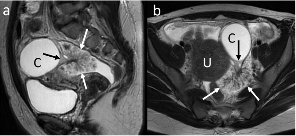
MRI:

両側卵巣に嚢胞構造(T2WI高信号、T1WI軽度低信号)
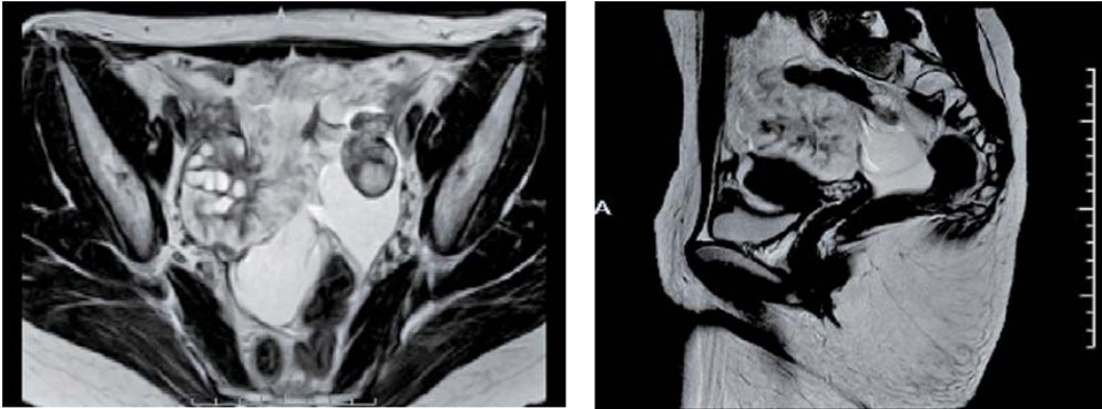
骨盤底部、右付属器表面に付着する腫瘤
明瞭なT2WI高信号、T1WI低信号、DWI高信号、ADC高値
右卵巣表面に連なるT2WI低信号の樹枝状構造
樹枝状構造は造影され、腫瘤本体は造影効果が弱い
少量の腹水と軽度腹膜肥厚

【手術所見】
子宮全摘+両側付属器切除+虫垂切除

骨盤部には粘性の高い腹水、播種・インプラントなし
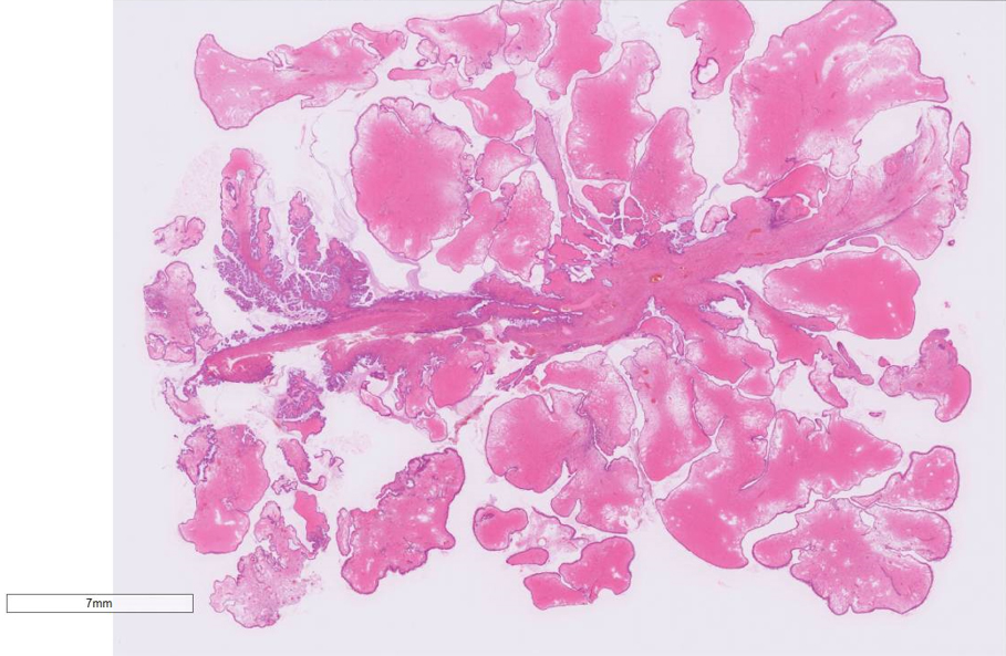
右卵巣より外向性に発育するカリフラワー状の腫瘤
虫垂は腫大なし

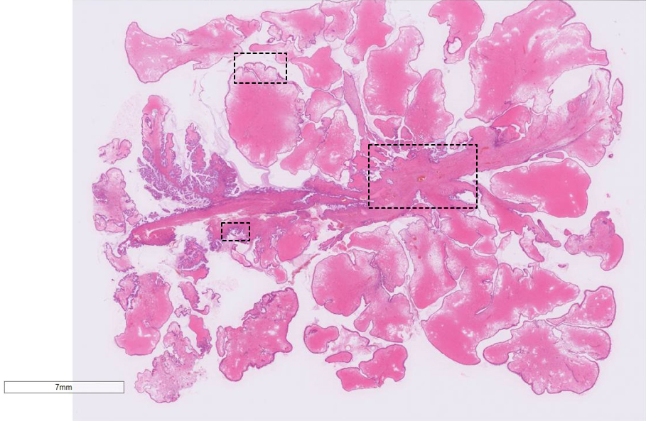
【病理所見】
  • 肉眼像
  • 肉眼像
  • 肉眼像
  • HE ルーペ像
  • HE ルーペ像
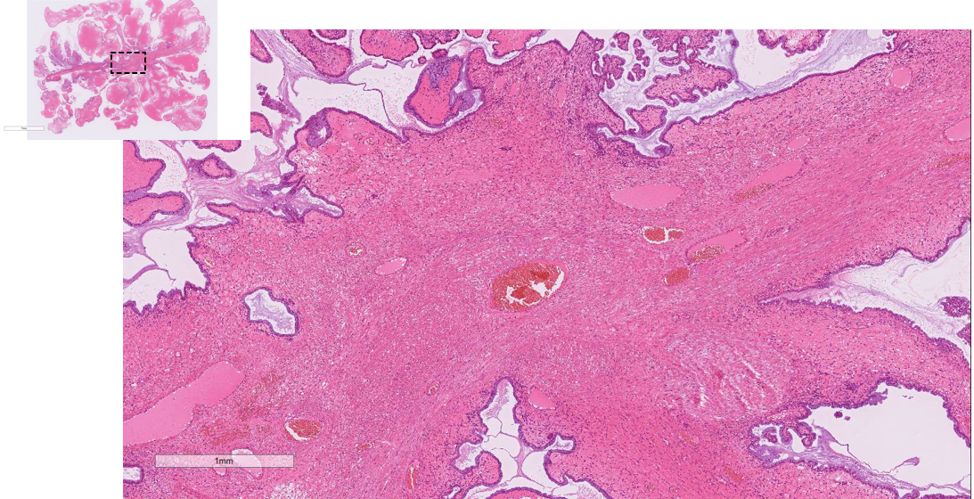
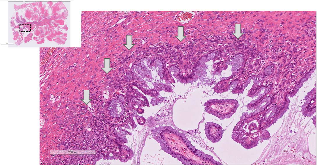
  • HE(x20) Stalk 部分拡張血管や dense な線維性結合組織成分を認める
  • HE(x40) 辺縁部分 ①浮腫状間質を取り囲み、腫瘍細胞が低乳頭状に増殖する。 矢印:腹腔内に粘液が漏出
  • HE(x100) 辺縁部分 ② 細胞質内粘液を有する内頸部型の粘液円柱上皮が低乳頭状に増殖。
    矢印:上皮下には内膜間質様の細胞密度の高い間質を認め、間質浸潤はない。
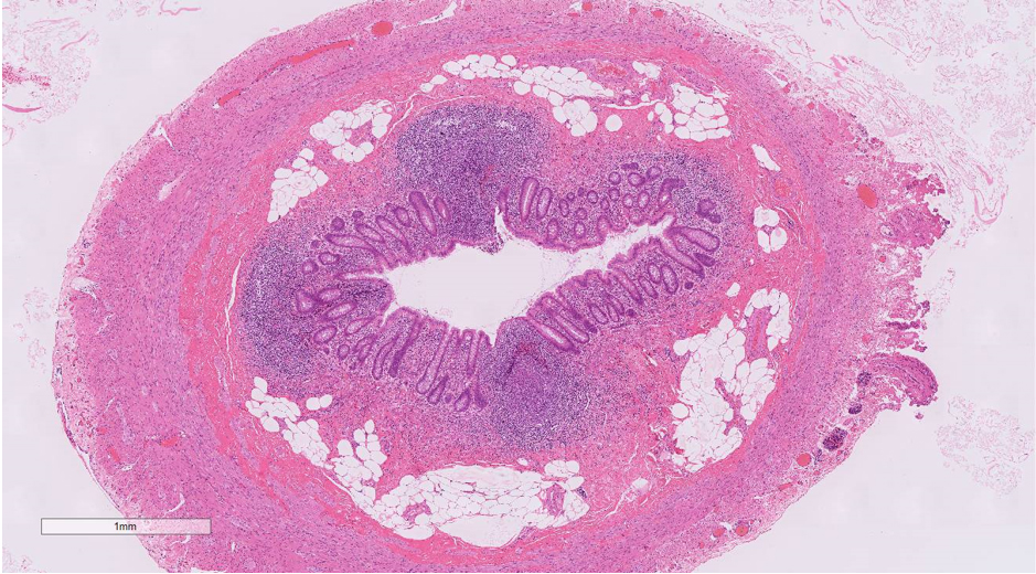
  • HE(x20) 虫垂虫垂には腫瘍性病変を認めない

診断:漿液粘液性境界悪性腫瘍
seromucinous borderline tumor: SMBT

【漿液粘液性境界悪性腫瘍 seromucinous borderline tumor】
【漿液粘液性境界悪性腫瘍 seromucinous borderline tumor: SMBT】
【SMBTとSBT: 組織】
【SMBTとSBT: 形態】
【一般的なSMBTの画像所見】

  • 50代女性 両側卵巣内膜症性嚢胞
    +SMBT(嚢胞+乳頭状腫瘤)
【外向性発育を示すSMBT】
  • 稀ではあるが報告はある
  • SBT 26例、SMBT 23例中、外向性発育は SBT 7例、SMBTではなし。 Kurata Y, et al. MRMS. 2018;17:211–217.
  • SMBT 32例中、外向性+内向性発育病変 1例 Nagayoshi Y, et al. Cancer Diagn Progn. 2023;3:360–364.
  • Case report 2例 (Endocervical-like mucinous borderline tumor) Shimamoto A, et al. Jpn J Radiol. 2014;32:552–555.
    藤本真理子ら.三菱京都病院医学総合雑誌 22: 26-29, 2015.
  • 会議録 2例
    • 外向性病変 (2023年 第148回近畿産科婦人科学会総会)
    • 卵管病変 (2021年 第61回日本産科婦人科内視鏡学会学術講演会)
【外向性発育を示すSMBT ①】
【外向性発育を示すSBT ②】

  • MRI所見

藤本真理子ら.三菱京都病院医学総合雑誌 22: 26-29, 2015.

【外向性発育を示すSBT ①】

  • MRI所見

Sahin H, et al. Br J Radiol. 2021;94:20210116.

【外向性発育を示すSBT ②】

Tsuboyama T, et al. RadioGraphics. 2022;42:2095–2111

【外向性発育を示すSBT ③】

Tsuboyama T, et al. RadioGraphics. 2022;42:2095–2111

【Take home message】
  • SMBTとSBTは、臨床的・病理学的、また、画像上も類似性がある。
  • SMBTは強い間質浮腫や豊富な粘液産生を反映して、より明瞭なT2WI高信号を呈し、造影効果はやや弱いとされる。
  • SMBTは内膜症性嚢胞から発生することが多いものの、外向性発育を示す場合もある。
【参考文献】
  1. Tsuboyama T, et al. RadioGraphics. 2022;42(7):2095–2111.
  2. Kurata Y, et al. MRMS. 2018;17(3):211–2
  3. Shimamoto A, et al. Jpn J Radiol. 2014;32(9):552–555.
  4. Sahin H, Akdogan AI, Smith J, Zawaideh JP, Addley H. Br J Radiol. 2021;94(1125):20210116.
  5. NAGAYOSHI Y, et al. Cancer Diagn Progn. 2023;3(3):360–364.
  6. Matsubayashi RN, et al. Journal of Computer Assisted Tomography. 2015;39(2):276.
  7. Woo S, et al. Abdom Imaging. 2015;40(6):1753–1760.
  8. Nagamine M, Mikami Y. Ovarian Seromucinous Tumors: Diagnostics (Basel). 2020;10(2):77.
  9. 岩本雅美, 清川貴子.産科と婦人科 90 (suppl) 190-194, 2023.
  10. 竹内麻由美ら.産科と婦人科 88(suppl): 359-367, 2021.