学術集会

Meeting

レントゲンカンファレンスはこちら

レントゲンカンファレンス症例・解答と解説



第43回 日本画像医学会 (2024年2月)

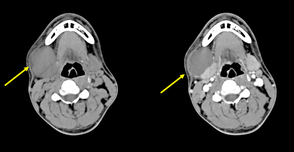
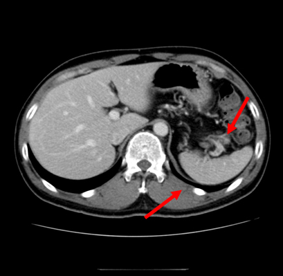
No. 154 症例4:30歳代男性
【画像所見まとめ】
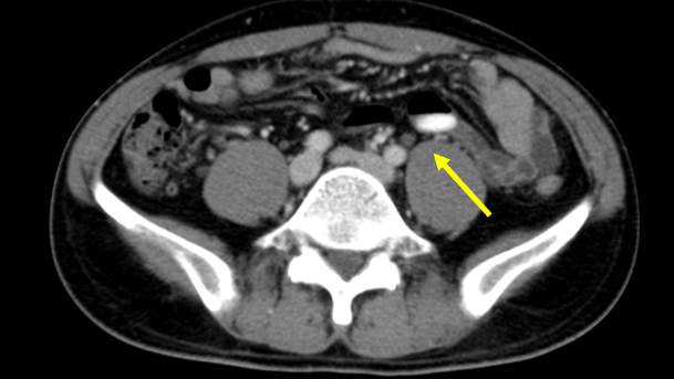
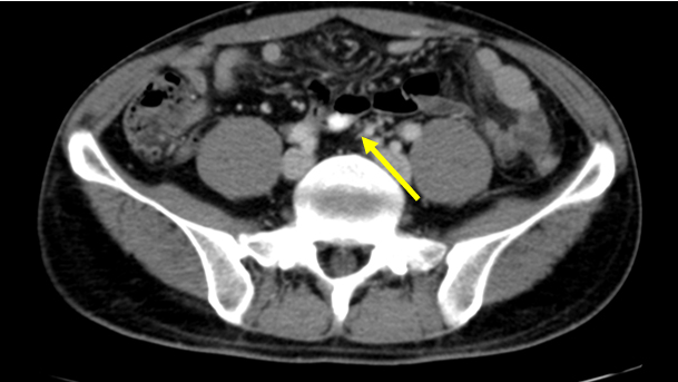
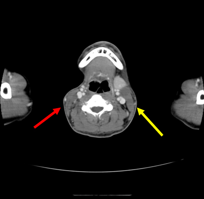
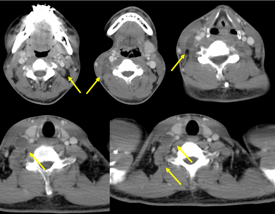
  • 右頸部に多発する嚢胞性(または壊死性)病変、リンパ節腫大
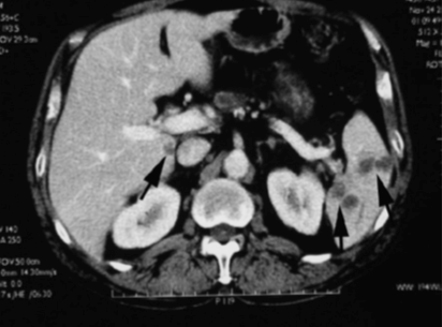
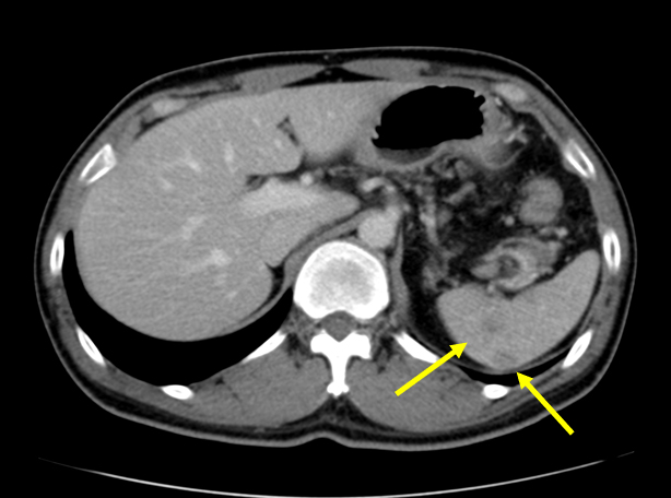
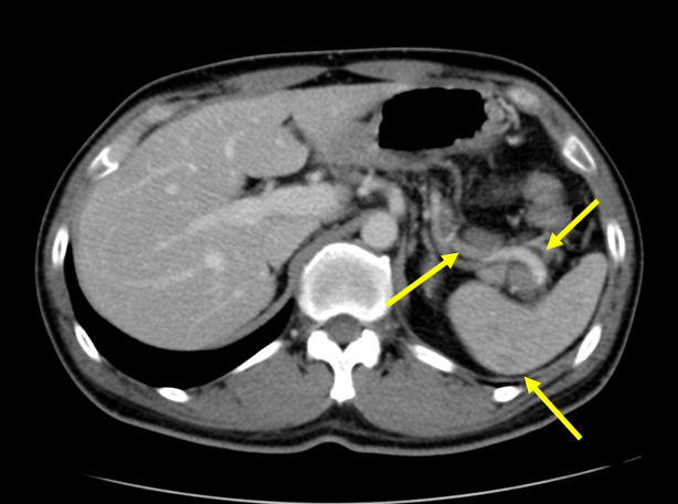
  • 脾多発腫瘤、脾門部多発リンパ節腫大
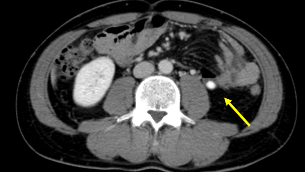
  • 腸管内に錠剤あり
【経過】

1年前顎下腺腫瘍疑いとして右顎下部郭清術施行。病理所見としては膿瘍の診断であるが、特定の感染症を示唆する所見を認めず(詳細不明)。腫瘍は認めず、その後症状は落ち着いていた。
潰瘍性大腸炎に対してメサラジン内服中。

【右顎下部郭清術検体】

組織学的には、割面にて20mm大の膿瘍形成を認める。壊死に陥った領域も広く認められる。膿瘍周囲には線維化やリンパ球浸潤を伴っている。悪性所見は認めない。

【1年前の画像】

病理所見としては膿瘍の診断であるが、特定の感染症を示唆する所見を認めず(詳細不明)。

【その後の経過】

右頸部リンパ節、膿瘍、脾結節は縮小(抗菌薬なし)
新たに左頸部にリンパ節腫大出現膿瘍壊死のみ

最終診断:潰瘍性大腸炎に伴う無菌性膿瘍

【無菌性膿瘍】
一般事項
活性化した好中球が遊走し、炎症や膿瘍を引き起こす病態。
潰瘍性大腸炎などのIBDの合併の他、関節リウマチやSweet病などの自己免疫性疾患が知られている。
抗菌薬加療による反応性不良などから判別する。
臨床症状
平均年齢は29歳、臨床症状は発熱(90%)、腹痛(67%)、体重減少(50%)。 症状の持続期間は、膿瘍が発見されるまで平均4.7ヵ月。 脾臓が最も多く(71.8%)、リンパ節(50.7%)、皮膚(29.5%)、肝臓(28.1%)、肺(22.5%)。まれな部位は脳、生殖器、腎、頸部、筋、乳房。
【無菌性膿瘍の画像報告】
  • 肝、脾
【結語】
  • 潰瘍性大腸炎に伴う無菌性膿瘍を提示した。
  • 腸溶錠から既往歴を推測し、背景疾患の有無を確認する。
  • 自己免疫性疾患を伴う患者で結節やリンパ節腫大、繰り返す膿瘍を見たときは無菌性膿瘍を念頭に置く必要がある。
【参考文献】
  1. Medicine (Baltimore). 2007 May;86(3):145-161.
    J Clin Med. 2022 Jun 25;11(13):3669.
  2. BMJ Case Rep. 2020; 13(10): e236437.