レントゲンカンファレンス症例・解答と解説
第43回 日本画像医学会 (2024年2月)
No.
156 症例6:50歳代男性
- 【画像所見】
-
- STIR

棘上筋腱、棘下筋腱、肩甲下筋腱に付着部炎
棘上筋の炎症
大結節のエロージョン
- 造影後T1強調像

大転子、小転子、坐骨結節、棘突起に造影効果
- 【クラミジア ・ トラコマティスによる反応性関節炎】
-
C.トラコマティスIgA 15.9C.
トラコマティスIgG 16.1
(正常値はいずれも0.9未満)gG
- 【反応性関節炎 reactive arthritis(ReA)】
-
泌尿器や腸管等の関節以外の部位の細菌感染症後に起こる関節炎である。
Chlamydia、Salmonella、Shigella、Yersinia、Campylobacterなどの感染が契機となる。
腱や靱帯,関節包が骨に付着する部位である付着部(enthesis)に炎症が起きやすいという興味深い特徴がある。
仙腸関節炎を発症する患者の大部分は、HLA-B27陽性である。
通常急性発症で、非対称性の少関節炎である。
20%ほどは多関節炎をきたす。
- 【椎体の後方成分にも注目】
-
- STIR 矢状断像
- 強直性脊椎炎
- クラミジア感染後
反応性関節炎
脊椎炎では、椎体の変化だけではなく、肋椎関節、椎間関節や棘突起にも炎症が起きる。
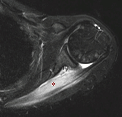
- 【脊椎関節炎(SpA)での肩関節病変】
-
- 末梢型脊椎関節炎
- クラミジア感染後反応性関節炎
腱板炎、大結節(腱付着部)のエロージョン、付着部の骨髄浮腫が特異的所見である。
関節包周囲軟部組織の浮腫および造影効果は関節リウマチより高度である。
反応性関節炎は下肢優位の病変分布とされているが、肩関節病変をきたすこともある。
- 【結語】
-
- 脊椎関節炎を疑った際には仙腸関節のみならず、椎間関節などの後方成分にも着目して読影を行う
- 反応性関節炎においても肩関節に炎症を伴うことがある
- 【謝辞】
-
本発表において、千葉大学大学院 医学研究院 整形外科学 橋本瑛子先生、君津中央病院 整形外科 穗積崇史先生 にご助言を賜りましたので、謝意を表します。
- 【参考文献】
-
- 上谷雅孝,関節のMRI 第3版,メディカル・サイエンス・インターナショナル,2020,161
- RMD Open. 2021 Jan;7(1):e001450. doi: 10.1136/rmdopen-2020-001450.
- Maksymowych WP : Imaging in spondyloarthritis. Adv Exp Med Biol 2009 ; 649 : 17-36.
- 日本脊椎関節炎学会,Vol. Ⅲ No.1 113-119,2011.
- 杉本英治:関節リウマチの画像診断.メディカル・サイエンス・インターナショナル,東京,2017, p195.
- 日本脊椎関節炎学会,Vol. Ⅲ No.1 113-119,2011.