学術集会

Meeting

レントゲンカンファレンスはこちら

レントゲンカンファレンス症例



第21回 日本画像医学会 (2002年2月)

No.11症例3:66歳,男性
【主訴】
膵腫瘤,全身倦怠感
【現病歴】
前立腺肥大症のため受けた超音波検査で偶然膵腫瘤を指摘され精査目的で来院した.
【既往歴】
3年前に前立腺肥大症及びシェーグレン症候群で加療を受けている.
【検査所見】
Amy 302 IU/l (51-226), Na 128 mEq/dl (135-147), K 3.5 mEq/dl (3.5-4.6), Cl 97mEq/dl(100-108)


  • 図1 腹部超音波検査
  • 図2 内視鏡的逆行性膵胆管造影(ERCP)
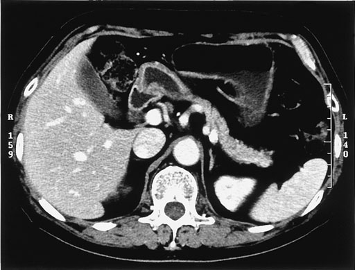
  • 図3 腹部CT
  • 図4 腹部MRI T1強調画像
  • 図5 腹部MRI
    造影後脂肪抑制T1強調画像
  • 図6 頭部MRI
    T1強調冠状断画像
  • 図7 頭部MRI
    造影後T1強調冠状断画像
  • 図8 頭部MRI
    造影後T1強調矢状断画像
  • 図9 頭部MRI
    T2強調矢状断画像