学術集会

Meeting

レントゲンカンファレンスはこちら

レントゲンカンファレンス症例



第36回 日本画像医学会 (2017年2月)

No.113症例3:40代 女性
【病歴】
半年前に急性骨髄性白血病と診断
化学療法の後、1ヶ月前に臍帯血移植後

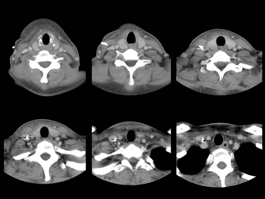
微熱が2週間持続するため胸腹部CTを施行したが、原因ははっきりしなかった
(撮像範囲の頸部のみ比較画像を提示する)

翌日、頸部の腫脹・軽度圧痛を自覚
精査目的で再度頸部CTが依頼された
【身体所見】
BT:37.4 ℃ BP:120/70mmHg
HR:88/min SpO2:99%
呼吸困難なし
【採血】
WBC:3340/ul、Hb:8.6g/dl、Plt:2.0万/ul
CRP:0.1mg/dl
他、生化学に特記事項なし
【使用薬剤】
タクロリムス(漸減中)・グラン
レボフロキサシン・ブイフェンド・バラシクロビル
ウルソデオキシコール酸・ランソプラゾール


頸部CT


前日のCT(撮像範囲内で最も頭側の画像から提示)