レントゲンカンファレンス症例
第37回 日本画像医学会 (2018年2月)
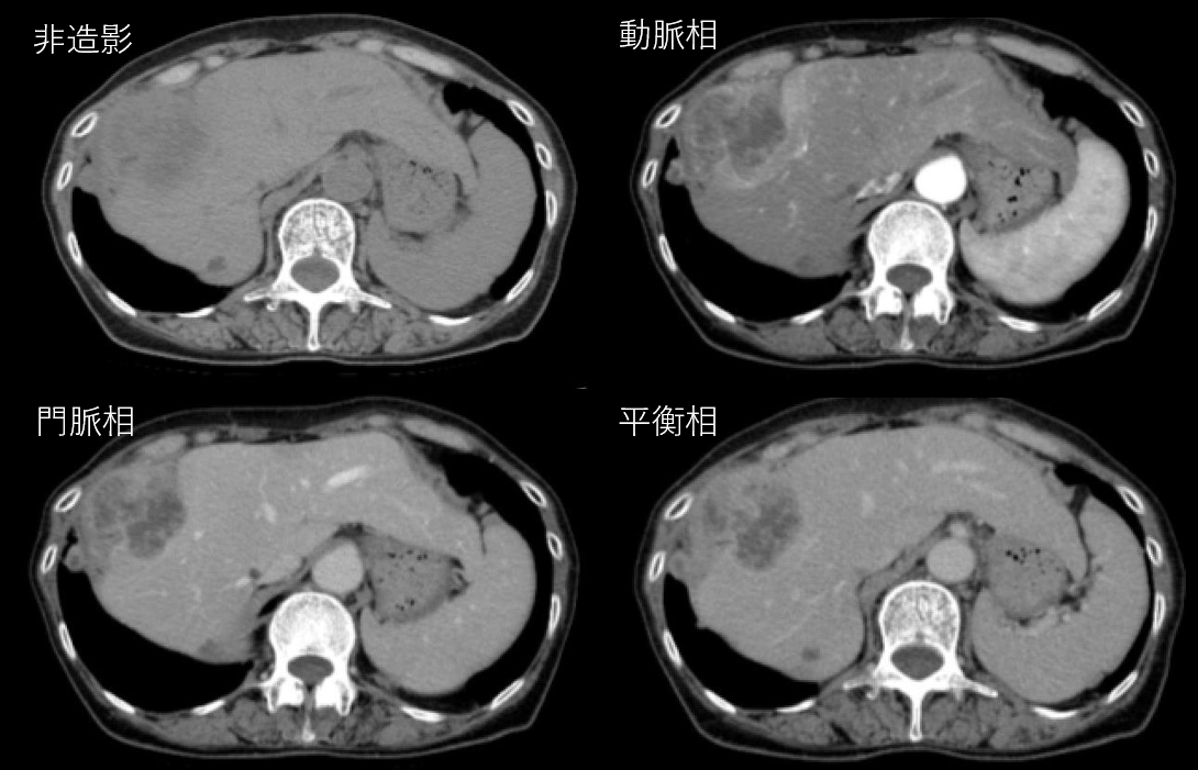
No.122症例2:74歳女性
- 【主訴】
- 発熱、右季肋部痛
- 【現病歴】
- 近医で超音波検査を施行したところ、肝S8に腫瘤を認めた.
- 【身体所見】
- 右季肋部に自発痛、圧痛.
身長 155.4cm、体重 40.3kg (5カ月で3kg減少)
- 【既往歴】
- 24年前に潰瘍性大腸炎に対して大腸全摘、J-pouch造設.
1年6カ月前に急性胆嚢炎に対して腹腔鏡下胆嚢摘出術.
- 【血液検査所見】
-
| Hb |
9.5mg/dl |
TP
| 7.2mg/dl |
| Ht |
29.7% |
Alb |
2.8mg/dl |
| RBC |
3.33/μl×106 |
T-Bil |
0.42mg/dl |
| WBC
| 6600/μl |
AST
| 15IU/l |
| PLT |
3.62/μl×105 |
ALT |
8IU/l |
| |
LDH |
303IU/l |
| Na |
140mEq/l |
ALP |
496IU/l |
| K |
4.1mEq/l |
γ-GTP |
42IU/l |
| Cl |
104mEq/l |
AMY |
62IU/l |
| BUN |
9.8mg/dl |
CRP |
11.4mg/dl |
| Cre |
0.49mg/dl |
CEA |
1.6ng/ml |
| eGFR |
90.3ml/min/1.73m2 |
CA19-9 |
9U/ml |
| |
AFP |
4.4ng/ml |