学術集会

Meeting

レントゲンカンファレンスはこちら

レントゲンカンファレンス症例



第38回 日本画像医学会 (2019年3月)

No.133症例3:31歳 女性
【主訴】
数日前からの発熱 腹痛、本日から皮疹
【既往歴】
7年前 左卵巣腫瘍術後(内膜症性嚢胞であった)
【身体所見】
BT 38.2℃ BP 103/61 HR 118
臍2横指右に最強の圧痛点
右頸部、左下肢に平坦な皮疹
【採血所見】
WBC 9600/µL(Neut 76.6,Eos 0,Bas 0,1 / Mono 9.2 Lymph 14.1)
CRP 6.5mg/dl
その他は正常範囲内
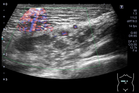
疼痛部のUS T