日本画像医学会
文字サイズ
標準
大
関連サイト
お問い合わせ
理事長ご挨拶
Greeting
学会からのご案内
Information
学術誌
Journal
学術集会
Meeting
学会レター
News
学術集会
Meeting
トップページ
学術集会
レントゲンカンファレンス症例
症例:No.15
学術集会
開催のご案内
学会賞のご案内
レントゲンカンファレンス
症例・解答と解説
抄録集アーカイブ
レントゲンカンファレンス症例
第22回 日本画像医学会 (2003年2月)
No.15
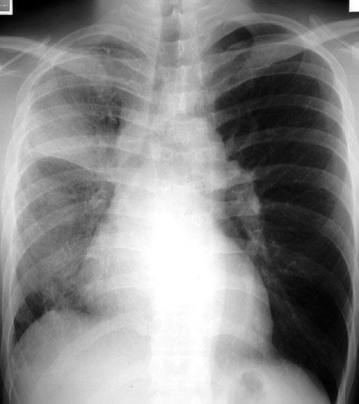
症例1:24歳,男性
【主訴】
喀血
【現病歴】
4日前に喀血があり,緊急入院となる.喀血はその後落ち着き,軽度の呼吸苦があるが,胸痛はない.
【既往歴】
7年前に右自然気胸を起こし,他院にてブラ縫縮と胸膜癒着術を施行されている
図1 胸部単純X線写真
図2 胸部CT肺野条件
図3 胸部CT肺野条件
解答・解説へ