日本画像医学会
文字サイズ
標準
大
関連サイト
お問い合わせ
理事長ご挨拶
Greeting
学会からのご案内
Information
学術誌
Journal
学術集会
Meeting
学会レター
News
学術集会
Meeting
トップページ
学術集会
レントゲンカンファレンス症例
症例:No.26
学術集会
開催のご案内
学会賞のご案内
レントゲンカンファレンス
症例・解答と解説
抄録集アーカイブ
レントゲンカンファレンス症例
第23回 日本画像医学会 (2004年2月)
No.26
症例4:46歳、男性
【主訴】
歩行困難、 下肢の脱力
【病歴】
約15年前から両下肢の動かしにくさ、歩きにくさを自覚するようになった。その後徐々に増悪し、現在は杖なしでは歩行できない。
【その他】
WASI-Rにてtotal IQ 74。
図1 股関節、開排位正面像
図2 右大腿、近位部の拡大像
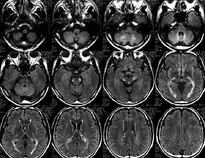
図3 FLAIR
解答・解説へ