日本画像医学会
文字サイズ
標準
大
関連サイト
お問い合わせ
理事長ご挨拶
Greeting
学会からのご案内
Information
学術誌
Journal
学術集会
Meeting
学会レター
News
学術集会
Meeting
トップページ
学術集会
レントゲンカンファレンス症例
症例:No.27
学術集会
開催のご案内
学会賞のご案内
レントゲンカンファレンス
症例・解答と解説
抄録集アーカイブ
レントゲンカンファレンス症例
第23回 日本画像医学会 (2004年2月)
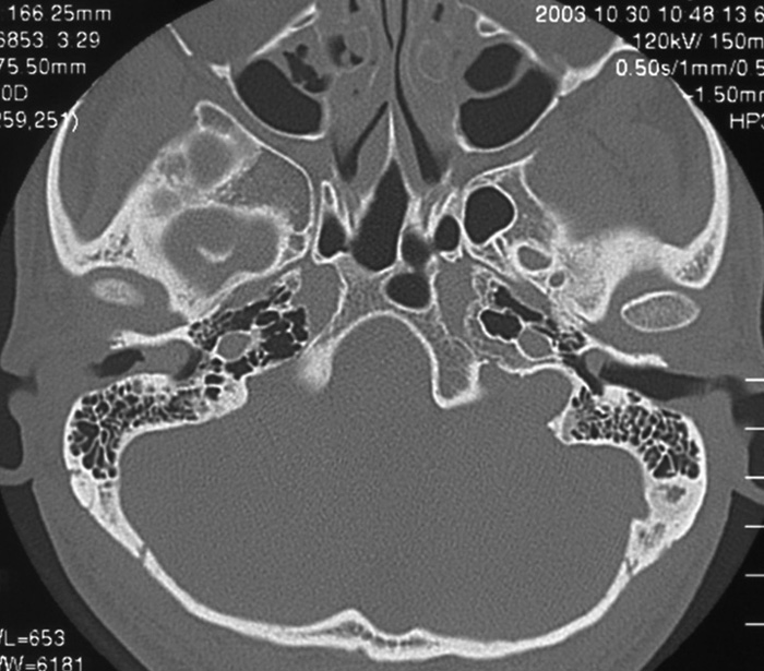
No.27
症例5:41歳男性
【病歴】
数日前より右耳痛出現。徐々に聞こえづらくなってきた。
【既往】
慢性アレルギ―性鼻副鼻腔炎
【耳鏡所見】
両側耳垢あり。
【血液生化学検査】
特に異常所見なし(炎症所見なし)。
図1
図2
図3
解答・解説へ