日本画像医学会
文字サイズ
標準
大
関連サイト
お問い合わせ
理事長ご挨拶
Greeting
学会からのご案内
Information
学術誌
Journal
学術集会
Meeting
学会レター
News
学術集会
Meeting
トップページ
学術集会
レントゲンカンファレンス症例
症例:No.28
学術集会
開催のご案内
学会賞のご案内
レントゲンカンファレンス
症例・解答と解説
抄録集アーカイブ
レントゲンカンファレンス症例
第23回 日本画像医学会 (2004年2月)
No.28
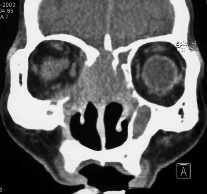
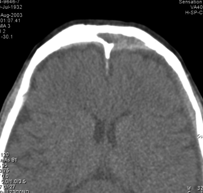
症例6:71歳男性
【現病歴】
1993年、右蝶形骨洞嚢胞による圧排に伴う視力低下あり。嚢胞開放術施行。
1996年、蝶形骨洞嚢胞再発により再手術。
2ヶ月前(2003. 6)より右視力低下、視野障害及び頭痛出現。蝶形骨洞嚢胞再々発が疑われ、当院耳鼻科受診。
【鼻鏡所見】
蝶形骨洞腔は鼻腔との交通あり、嚢胞再発は否定的。
図1
図2
図3
図4
図5
解答・解説へ