学術集会

Meeting

レントゲンカンファレンスはこちら

レントゲンカンファレンス症例



第25回 日本画像医学会 (2006年2月)

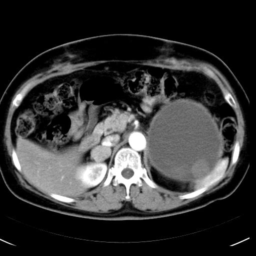
No.42症例2:54歳 女性
【現病歴】
紹介された他院にて後腹膜に大動脈に浸潤する腫瘍とのことで開腹したが、腫瘍摘出困難と判定され、本院外科に紹介された。
【血液生化学検査】
CA19-9が22030、CEAが82.8と高値。
【PET検査】
左側腹部の嚢胞性腫瘤の辺縁はSUVmax6~9


  • 図1 腹部CT造影早期相
  • 図2 腹部CT造影遅延相
  • 図3 腹部CT造影遅延相冠状断像
  • 図4 腹部CT造影遅延相矢状断像
  • 図5 T-PETのFusion画像