日本画像医学会
文字サイズ
標準
大
関連サイト
お問い合わせ
理事長ご挨拶
Greeting
学会からのご案内
Information
学術誌
Journal
学術集会
Meeting
学会レター
News
学術集会
Meeting
トップページ
学術集会
レントゲンカンファレンス症例
症例:No.46
学術集会
開催のご案内
学会賞のご案内
レントゲンカンファレンス
症例・解答と解説
抄録集アーカイブ
レントゲンカンファレンス症例
第25回 日本画像医学会 (2006年2月)
No.46
症例6:70歳 男性
【主訴】
頭重感
【現病歴】
約1ヶ月前より頭重感が続くため、MRI検査を受けた。
【既往歴】
高血圧にて治療中
【家族歴】
特記事項なし
【理学所見】
特記事項なし
【血液データ】
著変なし
図1 MRI(T2強調像,T1強調像,FLAIR像)
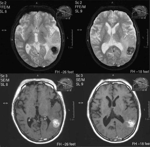
図2 MRI(FFE- T2強調像,造影T1強調像)
図3 CT(単純,造影)
図4 Tl-SPECT(早期像,遅延像)
図5 FDG-PET
解答・解説へ