日本画像医学会
文字サイズ
標準
大
関連サイト
お問い合わせ
理事長ご挨拶
Greeting
学会からのご案内
Information
学術誌
Journal
学術集会
Meeting
学会レター
News
学術集会
Meeting
トップページ
学術集会
レントゲンカンファレンス症例
症例:No.47
学術集会
開催のご案内
学会賞のご案内
レントゲンカンファレンス
症例・解答と解説
抄録集アーカイブ
レントゲンカンファレンス症例
第26回 日本画像医学会 (2007年2月)
No.47
症例1:49歳,男性
【主訴】
右半身しびれ,構音障害
【病歴】
2日前より右手の軽いしびれがあった.
その後,右半身へしびれが広がり,構音障害も出現するようになったため当院受診となった.
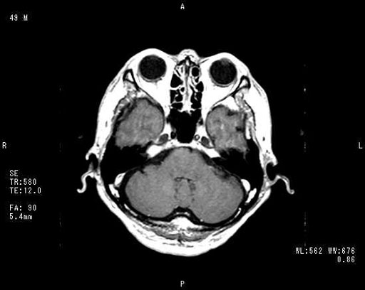
図1a T2強調横断像
図1b T2強調横断像
図1c T2強調横断像
図2a T2強調冠状断像
図2b T2強調冠状断像
図3a 造影T1強調横断像
図3b 造影T1強調横断像
図3c 造影T1強調横断像
解答・解説へ