学術集会

Meeting

レントゲンカンファレンスはこちら

レントゲンカンファレンス症例



第26回 日本画像医学会 (2007年2月)

No.48症例2:60歳、女性
【主訴】
RAで通院中.
PSL10mg,TAC1.5mg内服中である.
数日前から呼吸困難出現. 著明な低酸素血症.
【同日の血液検査】
白血球 9.5x1000/μl 、赤血球 2.19x100万/μl、Hb 6.6, Ht 19.3, PLT 344x1000/μl
CRP 16.86


  • 図1 胸部単純X線写真
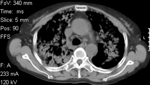
  • 図2a 胸部単純CT
    (縦隔条件)
  • 図2b 胸部単純CT
    (縦隔条件)
  • 図2c 胸部単純CT
    (縦隔条件)
  • 図2d 胸部単純CT
    (縦隔条件)
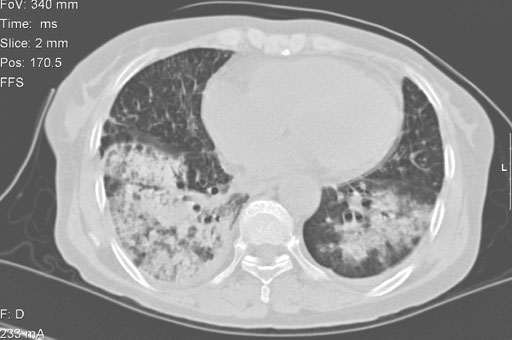
  • 図3a 胸部単純CT
    (肺条件)
  • 図3b 胸部単純CT
    (肺条件)
  • 図3c 胸部単純CT
    (肺条件)
  • 図3d 胸部単純CT
    (肺条件)