学術集会

Meeting

レントゲンカンファレンスはこちら

レントゲンカンファレンス症例



第26回 日本画像医学会 (2007年2月)

No.52症例6:45歳、女性
【主訴】
右背部痛
深夜就寝中に突然右背部痛が出現した.他院でCTが撮像され,後腹膜出血を疑われて紹介された.
【既往歴】
小学生時に急性虫垂炎で虫垂切除術.
【家族歴】
特記すべきことなし.


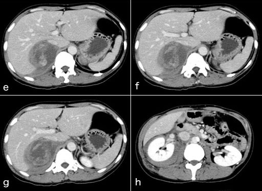
図1 発症当日のCT
  • 単純CTa~d
  • 造影CTe~h
図2 40日後に撮像されたMRI
  • a.T1強調像(gradient echo in phase, 横断像)b.T1強調像(gradient echo out of phase, 横断像) c.T2強彫像(横断像)
  • d.T1強調像(gradient echo in phase, 冠状断像)e.T2強彫像(冠状断像)
  • e.ダイナミックMRI 造影前(横断像)g.ダイナミックMRI 早期相(横断像)