学術集会

Meeting

レントゲンカンファレンスはこちら

レントゲンカンファレンス症例



第27回 日本画像医学会 (2008年2月)

No.54症例2:28歳、男性
【主訴】
頭痛
【現病歴】
平成18年12月中旬に突然頭痛が出現した.平成19年1月に頭痛の精査目的で近医にてMRIを撮像したところ、MRIで右側頭葉に嚢胞性病変を指摘され、当院脳神経外科に紹介受診となった.
【既往歴】
特記事項なし
【身体所見】
異常所見なし
【血液所見】
特記事項なし


  • 図1a T1強調横断像
  • 図1b T1強調横断像
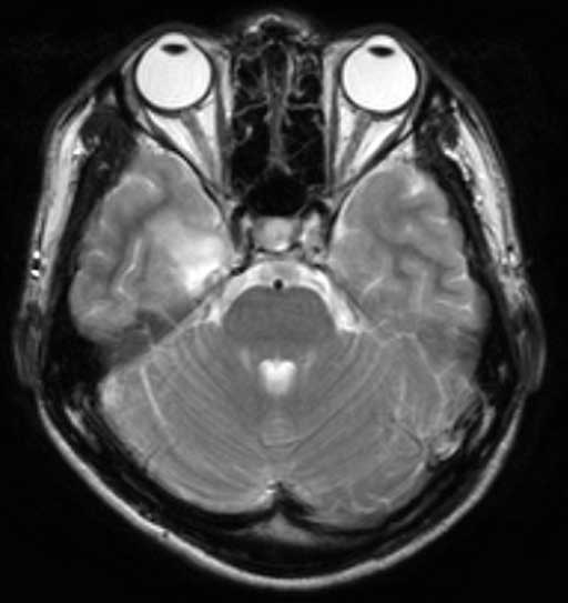
  • 図2a T2強調横断像
  • 図2b T2強調横断像
  • 図3a FLAIR横断像
  • 図3b FLAIR横断像
  • 図4a 造影後T1強調横断像
  • 図4b 造影後T1強調横断像
  • 図4c 造影後TI強調矢状断像
  • 図5 Perfusion MRI
  • 図6 MRS