学術集会

Meeting

レントゲンカンファレンスはこちら

レントゲンカンファレンス症例



第27回 日本画像医学会 (2008年2月)

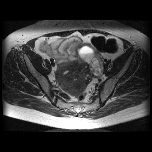
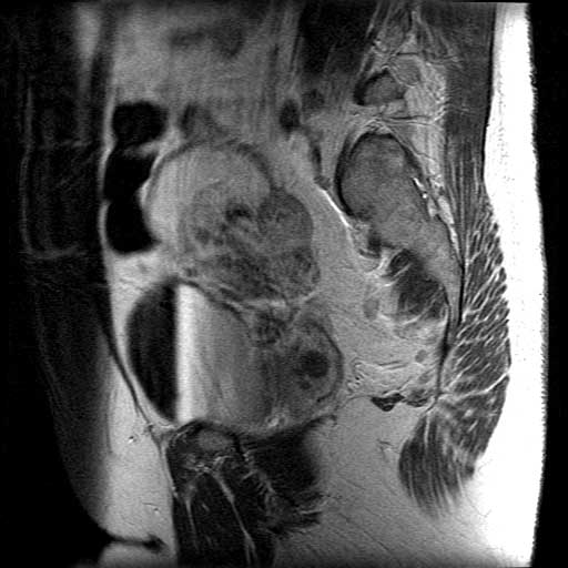
No.58症例6:47歳、女性 1G1P
【現病歴】
41歳時に月経困難症にて当院受診、MRIにてendometriosis、adenomyosis、myoma uteriと診断される.GnRH agonist、低容量ピルを投与されていたが、1年半前より休薬していた.
定期受診にて左卵巣腫大を疑われ、精査加療目的にて入院.
なお、8ヶ月前の経膣USでは異常を指摘されていない
【既往歴】
17歳 虫垂切除術、32歳 腎盂腎炎
【腫瘍マーカー】
CA19-9 43.9(<37)、CA125 375.2(<35)


  • 図1
  • 図2
  • 図3
  • 図4
  • 図5
  • 図6