学術集会

Meeting

レントゲンカンファレンスはこちら

レントゲンカンファレンス症例



第28回 日本画像医学会 (2009年2月)

No.59症例1:50歳代、男性
【主訴】
頭痛
【現病歴】
1ヶ月程前より夜間に右目の奥の痛みがあり、流涙も伴う.独歩で来院.
【既往歴】
気管支喘息


  • 図1 MRI(T2WI,Axi)
  • 図2 MRI(T1WI,Sag)
  • 図3 MRI(FLAIR,Cor)
  • 図4 MRI(DWI,Axi)
  • 図5 MRI(ADC map)
  • 図6 MRI(T2*WI,Axi)
  • 図7 MRI(Gd-T1WI,Axi)
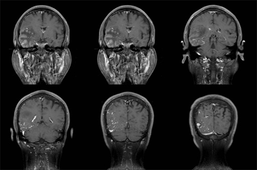
  • 図8 MRI(Gd-T1WI(FS),Cor)
  • 図9 MRI(Gd-T1WI,Sag)
  • 図10 MRA
  • 図11 MRA