レントゲンカンファレンス症例
第30回 日本画像医学会 (2011年2月)
No.73症例3:60歳代女性
- 【主訴】
- 嗄声
- 【現病歴】
- 今年5月より嗄声出現。精査目的に 当院受診した。
- 【既往歴】
- 19歳虫垂炎・54歳高血圧・58歳 乳腺脂肪腫・65歳帯状疱疹
- 【家族歴】
- 特記事項なし
- 【血液生化学データ】
-
| WBC | 4.2 x103/μl |
RBC | 4.39 x106/μl |
| Hg |
12.3 g/dl |
Ht |
37.5 % |
| Plt |
1113/μl |
|
|
| TP
| 6.6 g/dl |
Alb
| 4.1 g/dl |
| AST |
25 IU/l |
ALT |
34 IU/l |
| T.bil |
0.5 mg/dl |
Ind.bil |
0.4 mg/dl |
| CK |
95 IU/l |
LD |
220 IU/l |
| ALP |
385 IU/l |
γGT |
122 IU/l |
| ChoE |
340 IU/l |
Cre |
0.4 mg/dl |
| Na |
143 mEq/l |
Cl |
110 mEq/l |
| K |
4.6 mEq/l |
Ca |
8.9 mg/dl |
| TSH |
<0.01 mIU/ml |
F-T3 |
11.51 pg/ml |
| F-T4 |
4.23 ng/dl |
TSAB |
431 % |
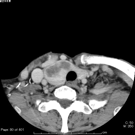
図1 08/19頭頸部単純/造影CT
図2 08/19頭頸部単純/造影CT
図3