日本画像医学会
文字サイズ
標準
大
関連サイト
お問い合わせ
理事長ご挨拶
Greeting
学会からのご案内
Information
学術誌
Journal
学術集会
Meeting
学会レター
News
学術集会
Meeting
トップページ
学術集会
レントゲンカンファレンス症例
症例:No.77
学術集会
開催のご案内
学会賞のご案内
レントゲンカンファレンス
症例・解答と解説
抄録集アーカイブ
レントゲンカンファレンス症例
第31回 日本画像医学会 (2012年2月)
No.77
症例1:50代男性
【主訴】
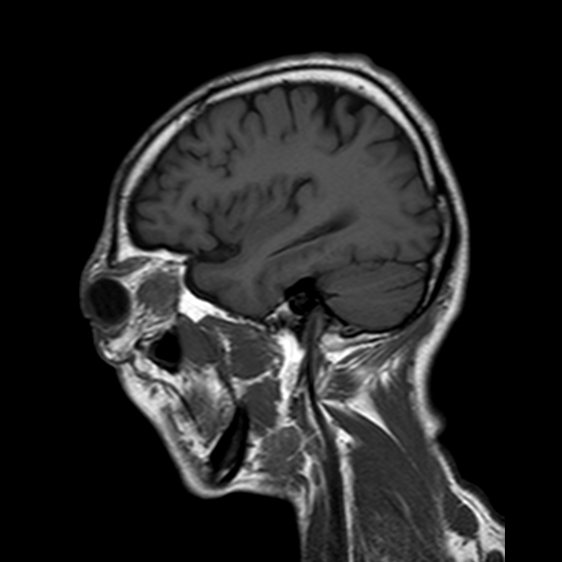
眼瞼腫脹と視力低下を主訴に来院。眼窩内腫瘍が疑われた。
図1 T1強調画像
図2 T1強調画像
図3 T1強調画像
図4 T2強調画像
図5 T2強調画像
図6 T2強調画像
図7 T2強調画像
図8 造影後冠状断
図9 造影後冠状断
図10 造影後冠状断
図11 造影後冠状断
図12 造影後矢状断
図13 造影後矢状断
図14 造影後矢状断
解答・解説へ