学術集会

Meeting

レントゲンカンファレンスはこちら

レントゲンカンファレンス症例



第31回 日本画像医学会 (2012年2月)

No.78症例2:61歳男性
【主訴】
約半年前より右眼奥の軽度鈍痛を自覚
今回、眼球下垂も自覚し、精査加療目的にて当院耳鼻咽喉科を受診した
【現病歴】
3か月前に近医耳鼻科を受診、慢性副鼻腔炎の診断のもと約3カ月間マクロライド治療を受けるが改善なし
【既往歴】
高血圧(52歳より内服治療)
【血液生化学データ】
軽度の高脂血症、その他とくに異常なし


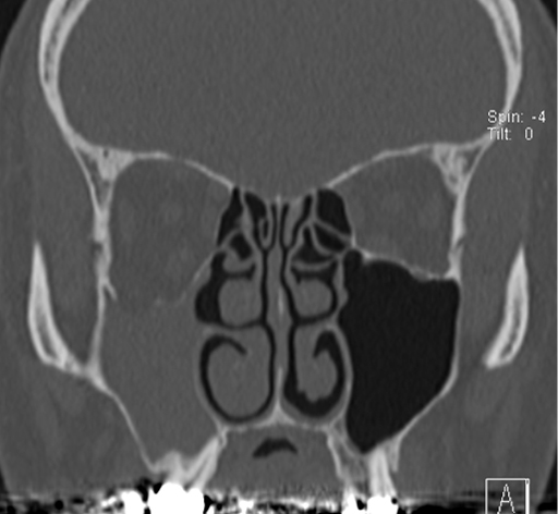
  • 図1 CT冠状断像 骨条件表示
  • 図2 CT冠状断像軟部濃度条件表示
  • 図3 CT横断像軟部濃度条件表示
  • 図4 MRIT2強調冠状断像
  • 図5 MRIT1強調横断像
  • 図6 MRIT2強調横断像